Carregant...
Tipus de document
AltresData de publicació
Llicència de publicació
Si us plau utilitzeu sempre aquest identificador per citar o enllaçar aquest document: https://hdl.handle.net/2445/61473
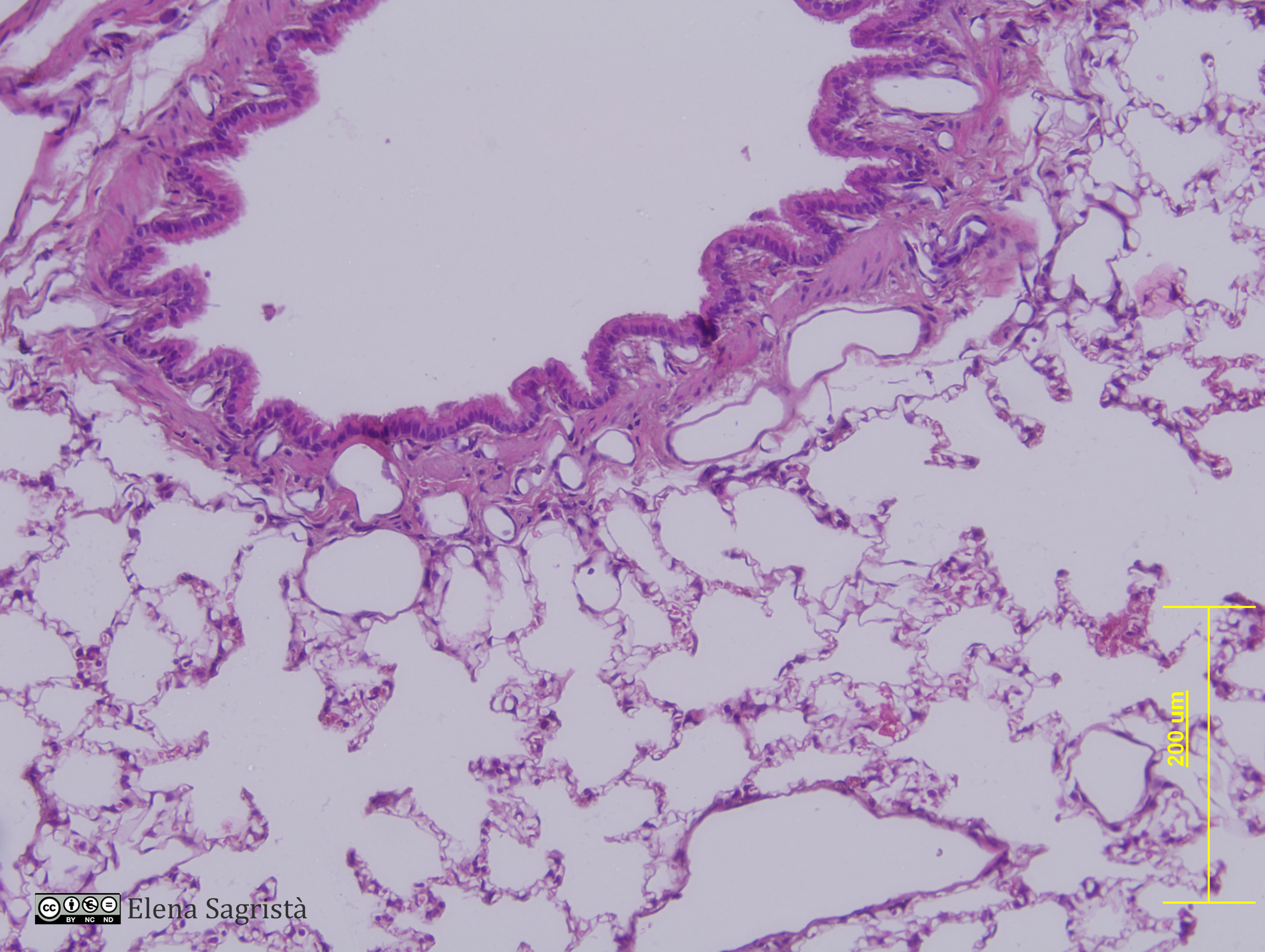
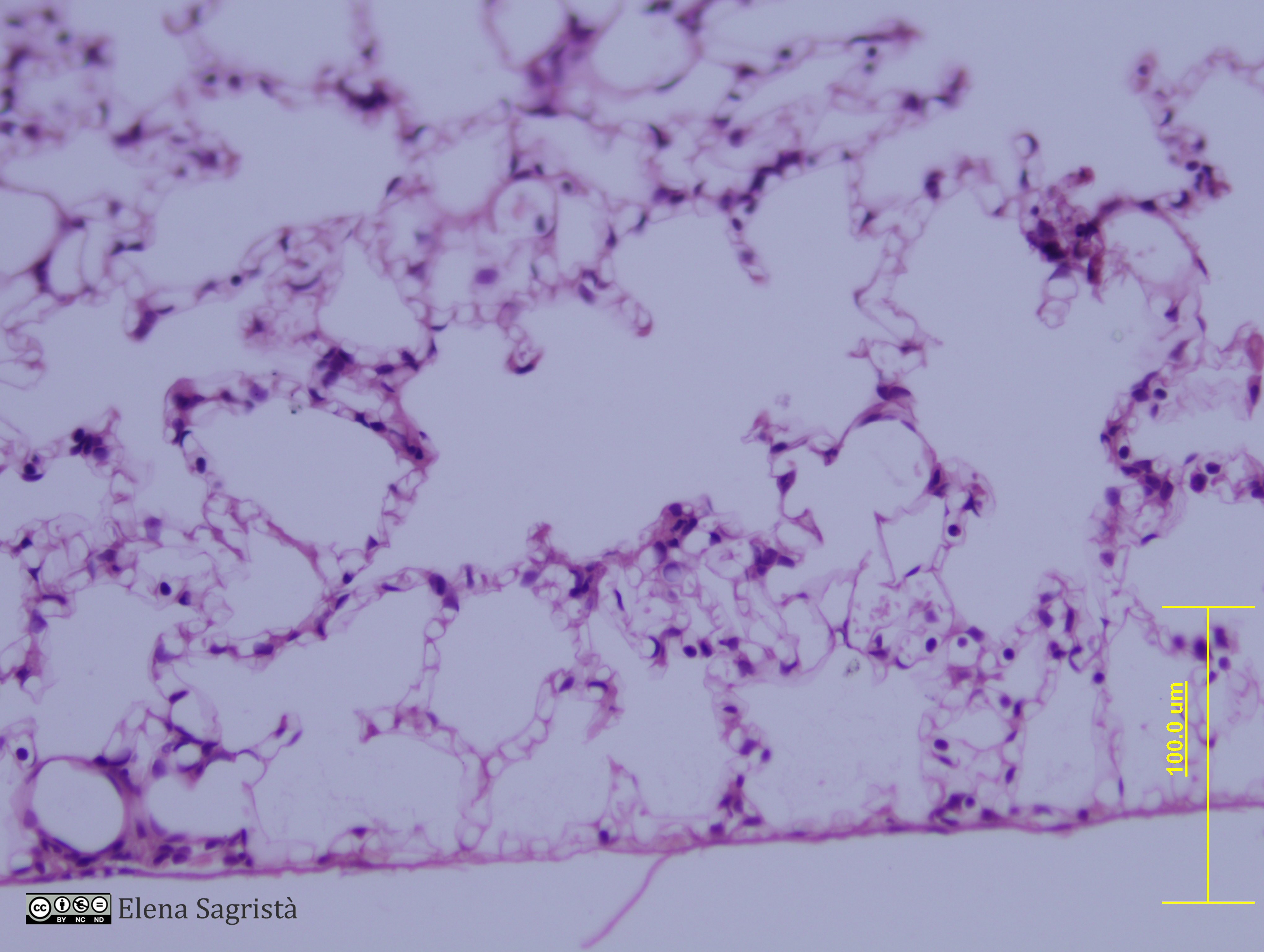
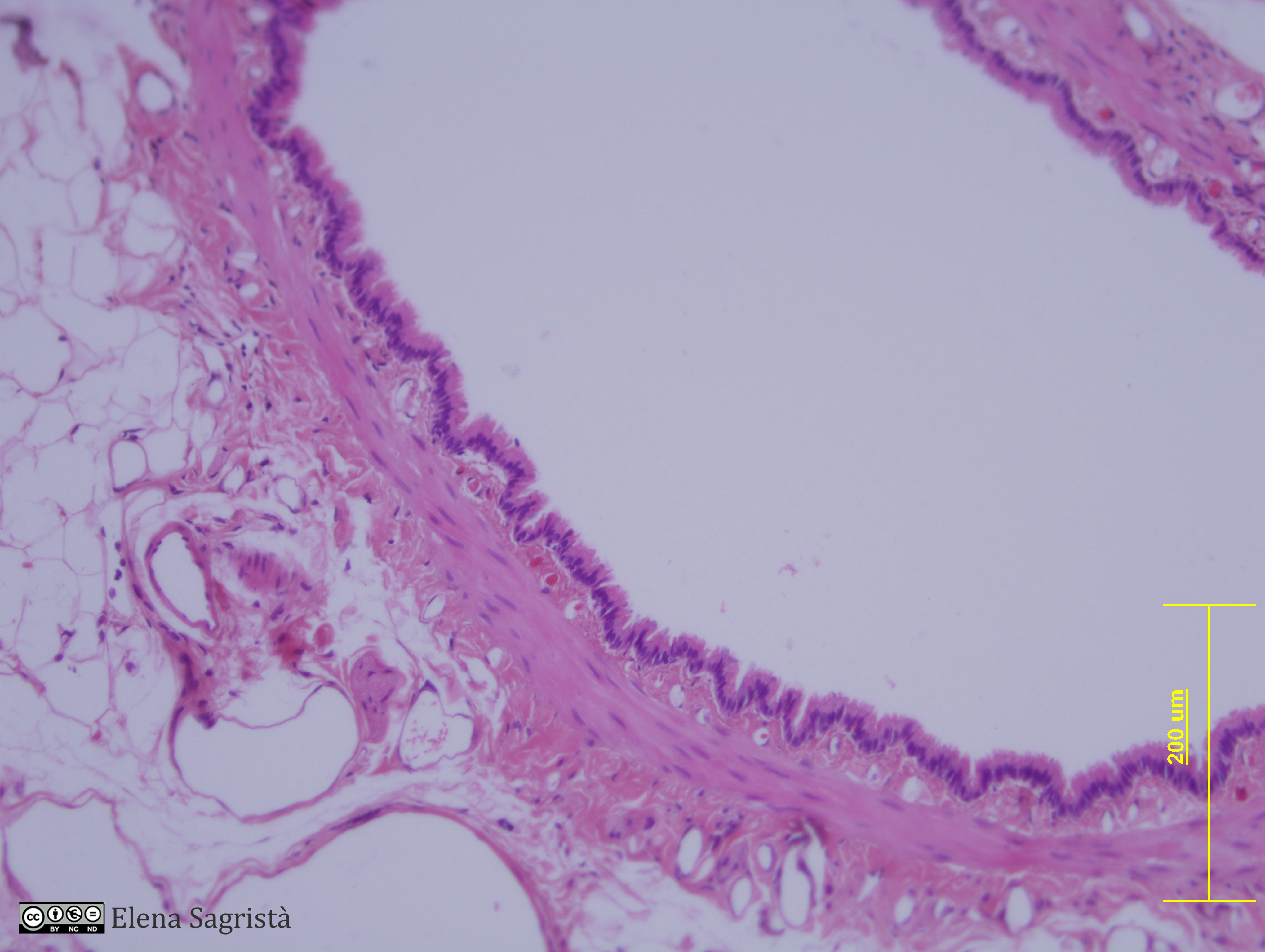
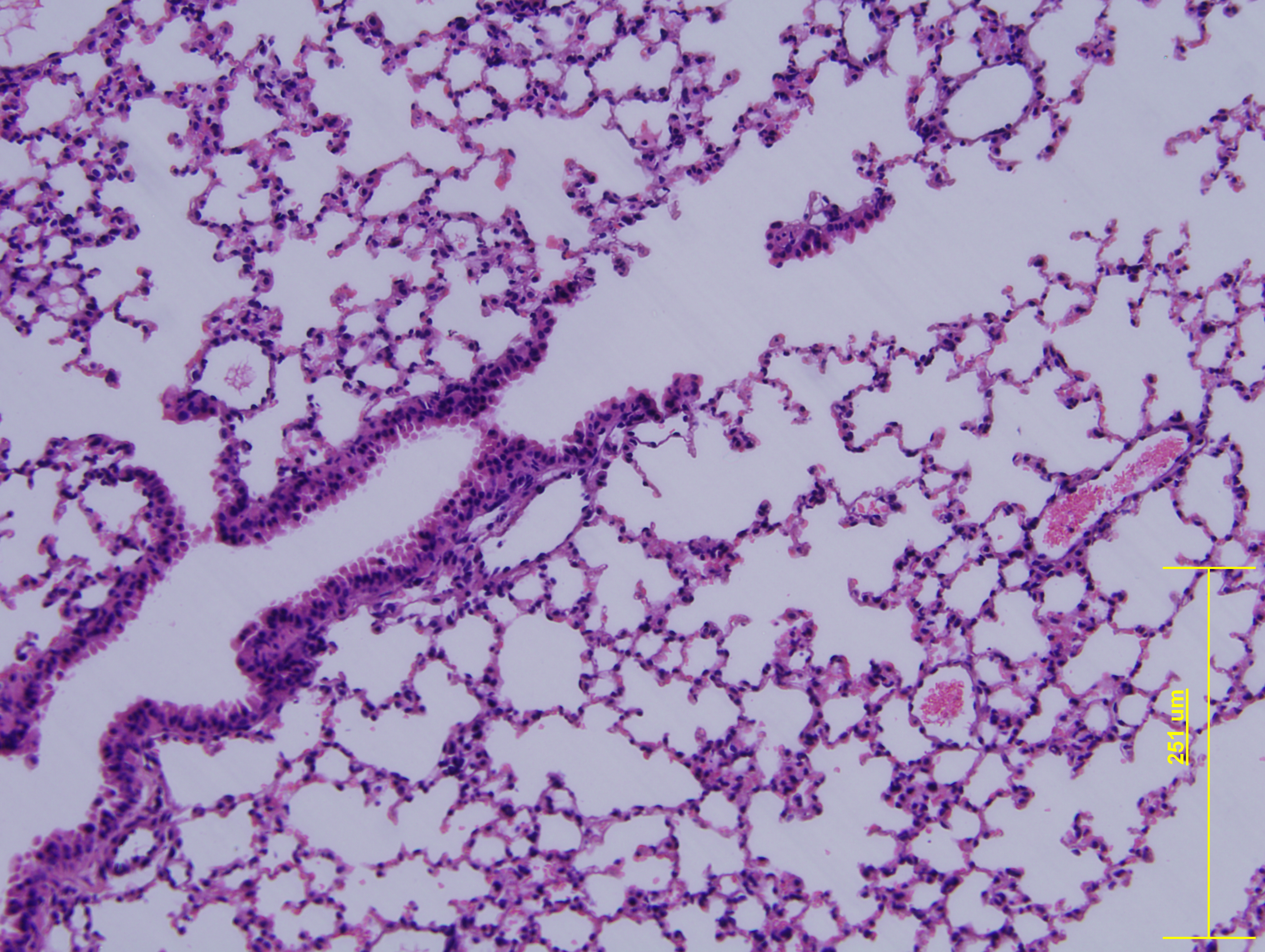
Histologia imatges: 13 Pulmó
Títol de la revista
Director/Tutor
ISSN de la revista
Títol del volum
Recurs relacionat
Resum
Imatges de preparacions histològiques de Pulmò. Microscopia òptica.
Matèries
Matèries (anglès)
Citació
Col·leccions
Citació
SAGRISTÀ I MATEO, Elena, Universitat de Barcelona. Departament de Biologia Cel·lular. Histologia imatges: 13 Pulmó. [consulta: 26 de febrer de 2026]. [Disponible a: https://hdl.handle.net/2445/61473]