Carregant...
Fitxers
Tipus de document
AltresData de publicació
Llicència de publicació
Si us plau utilitzeu sempre aquest identificador per citar o enllaçar aquest document: https://hdl.handle.net/2445/61479
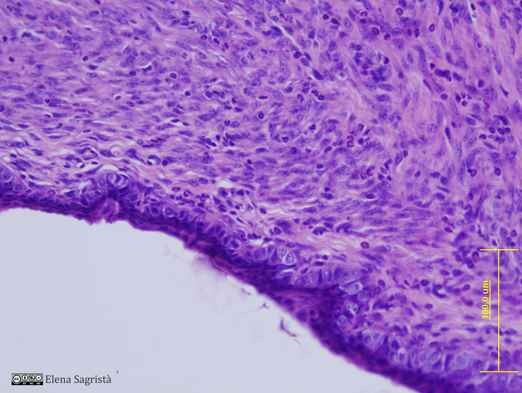
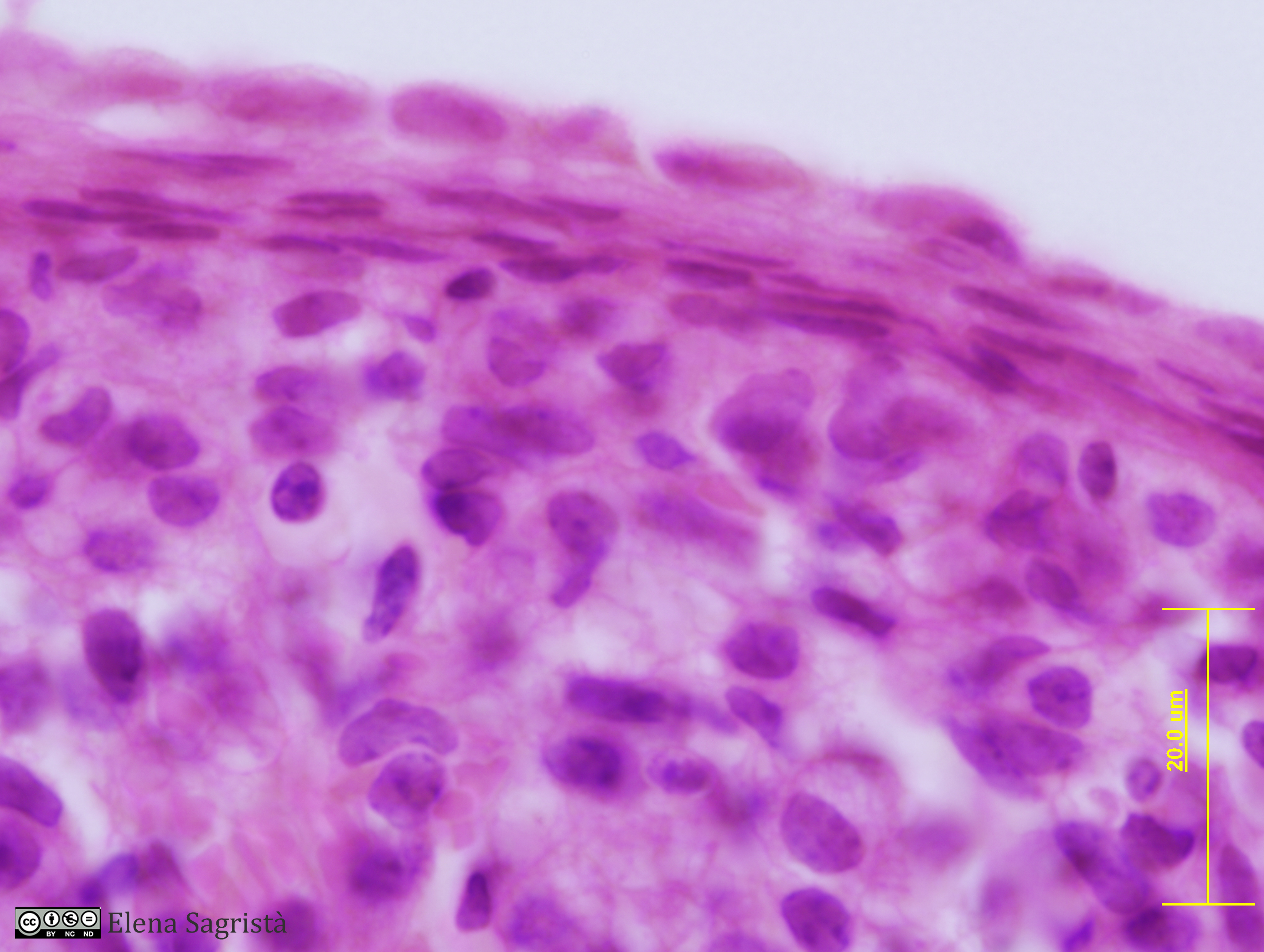
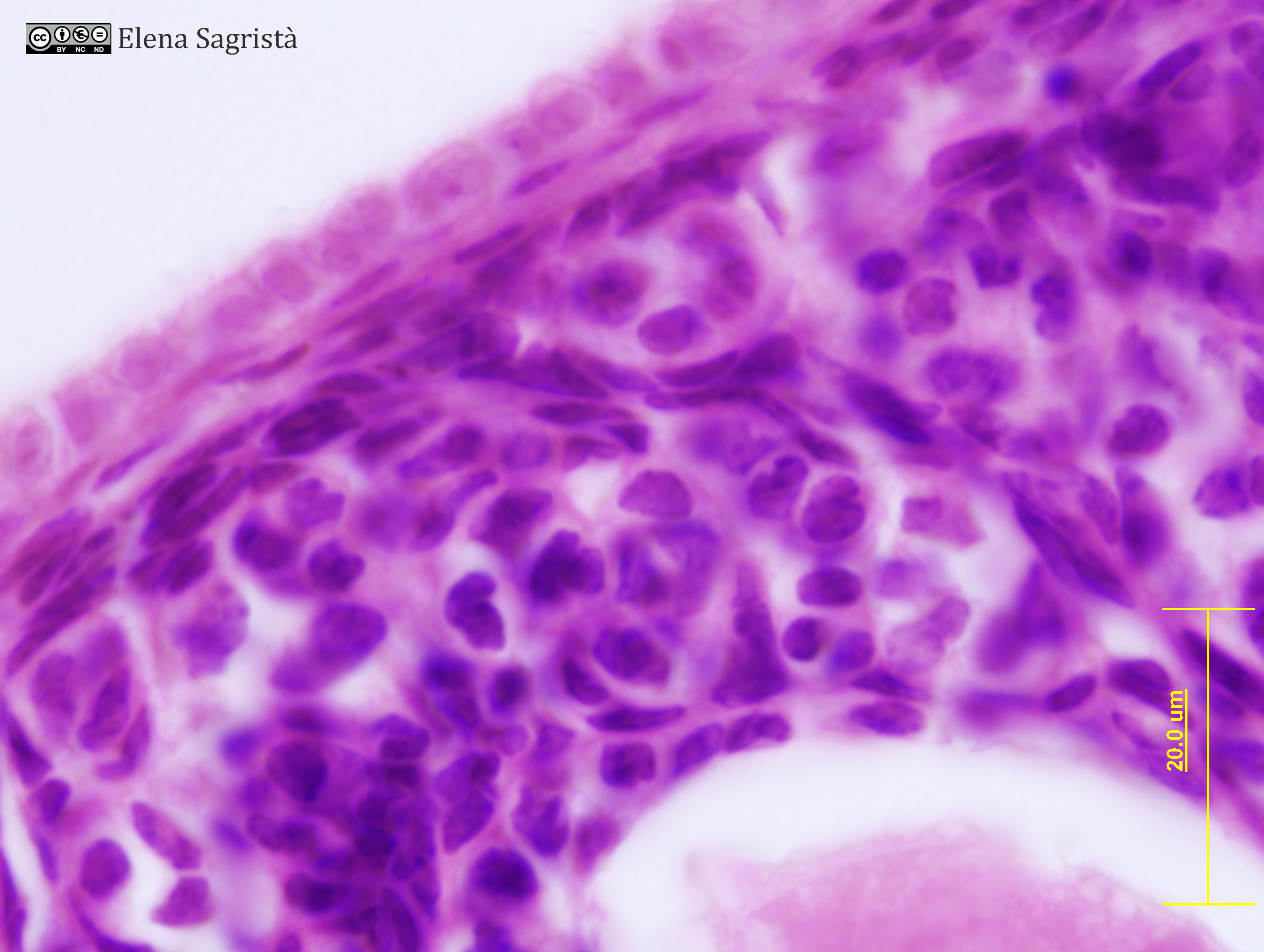
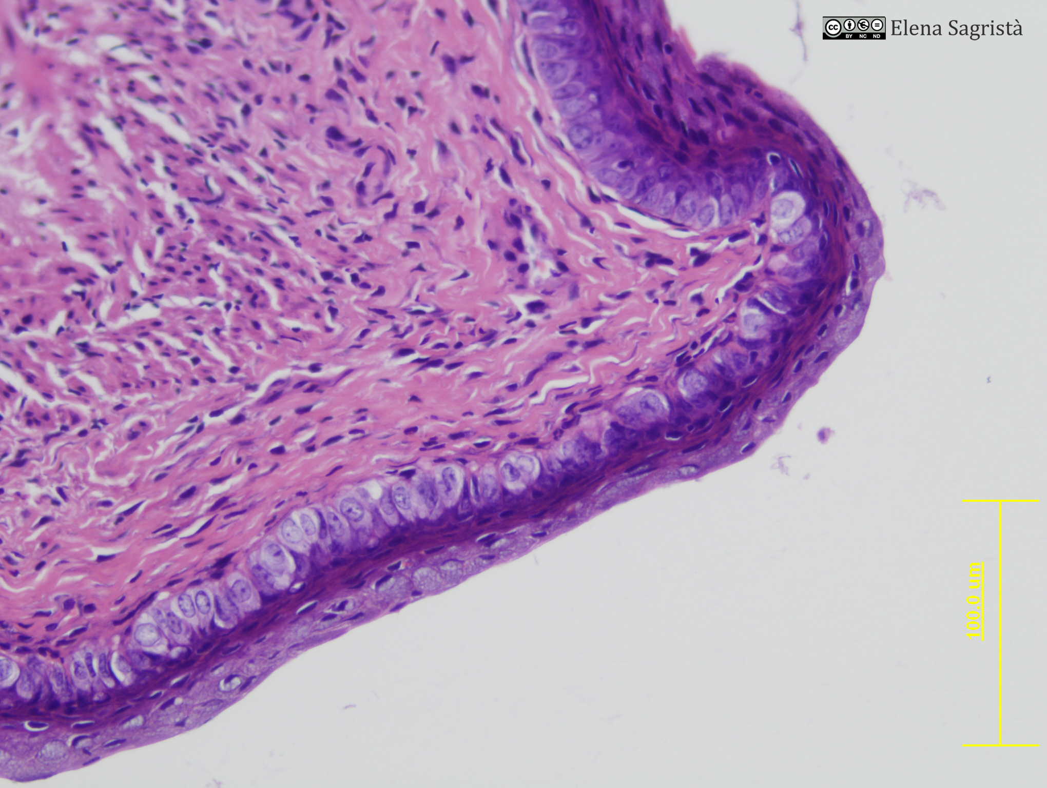
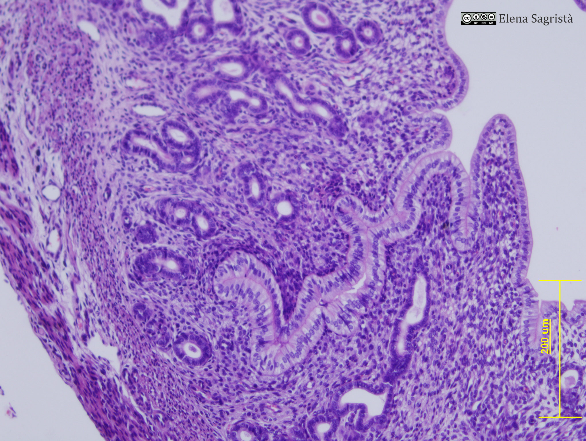
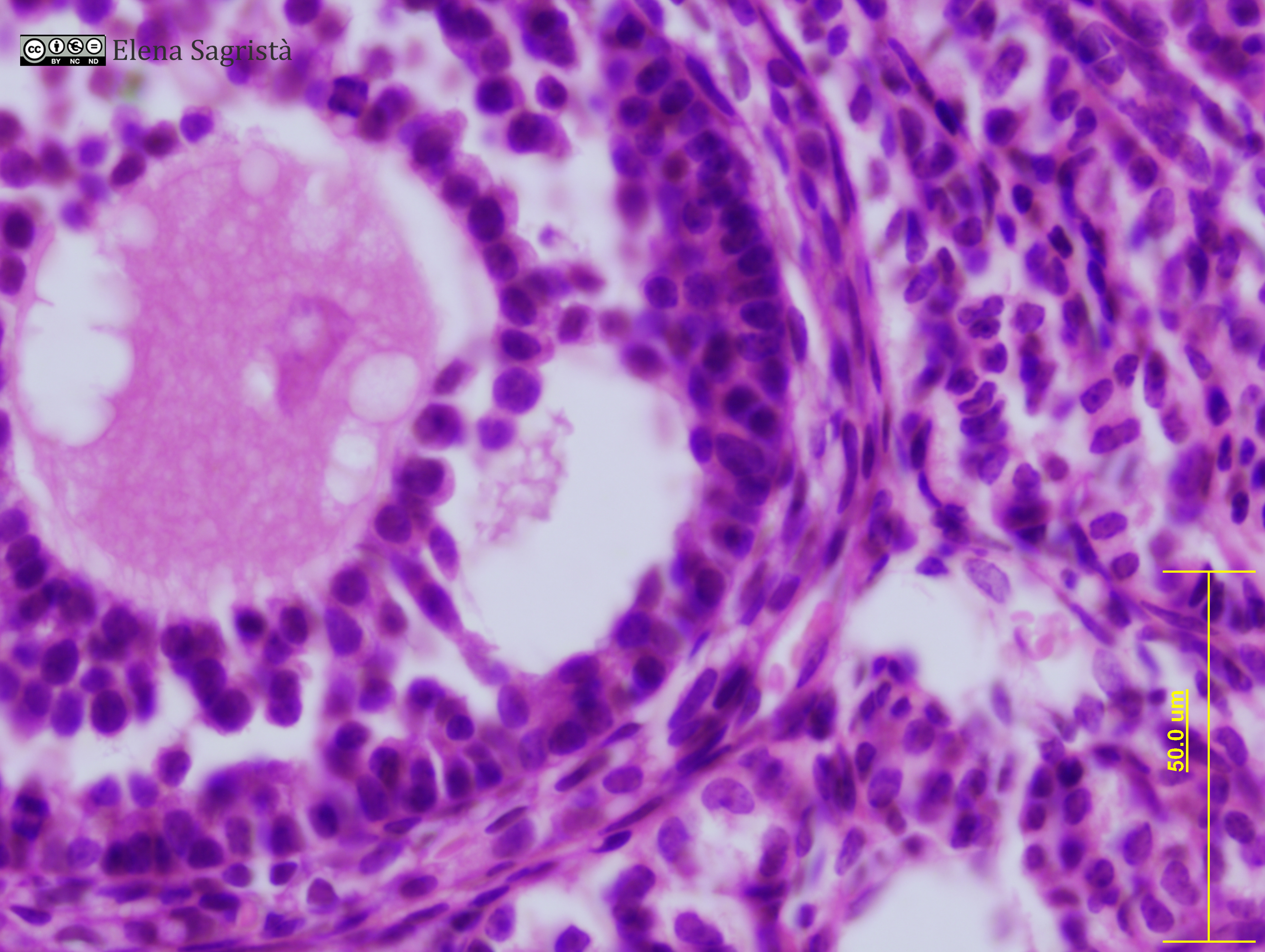
Histologia imatges: 23 Ovari i Aparell reproductor femení
Títol de la revista
Director/Tutor
ISSN de la revista
Títol del volum
Recurs relacionat
Resum
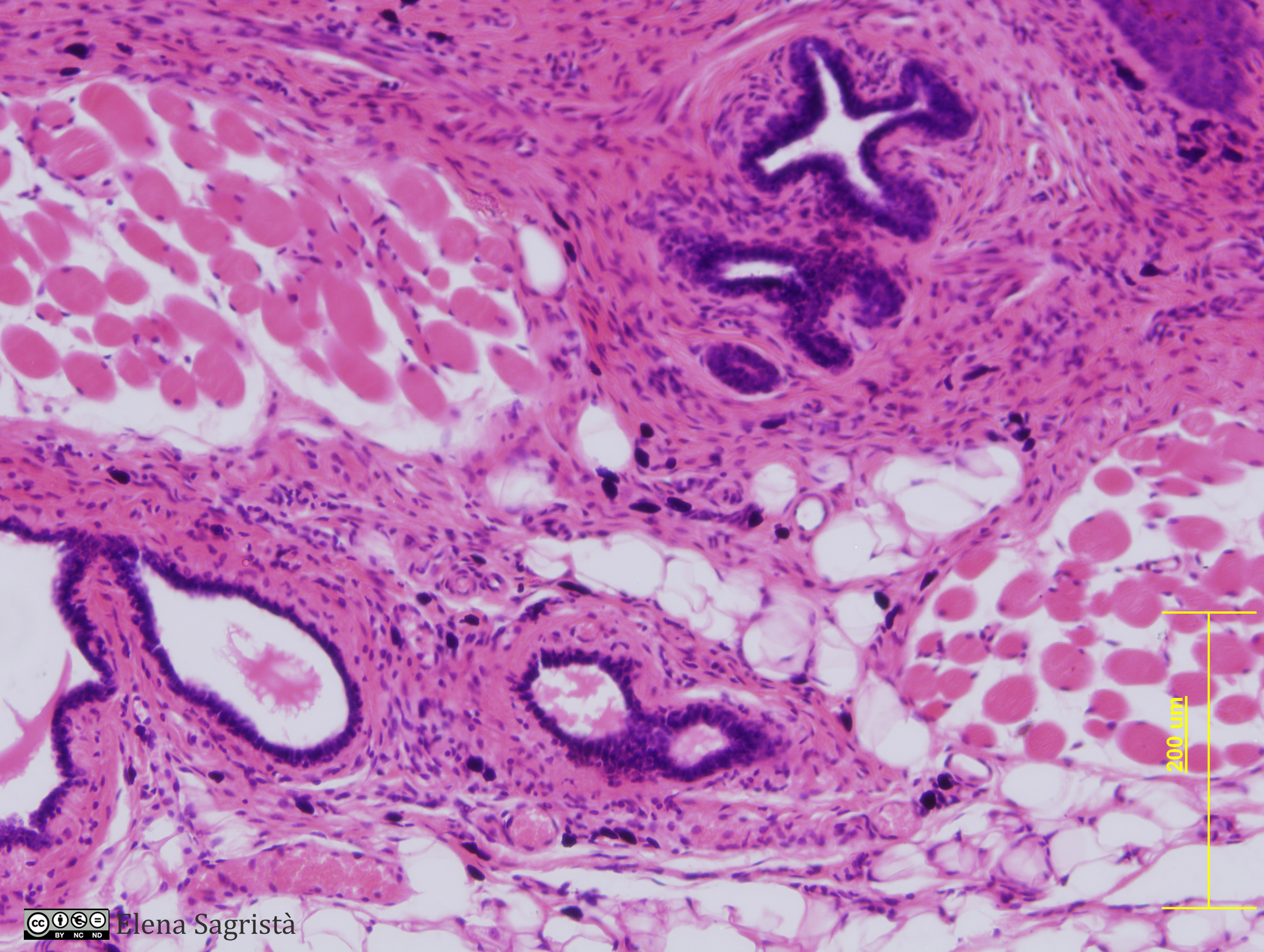
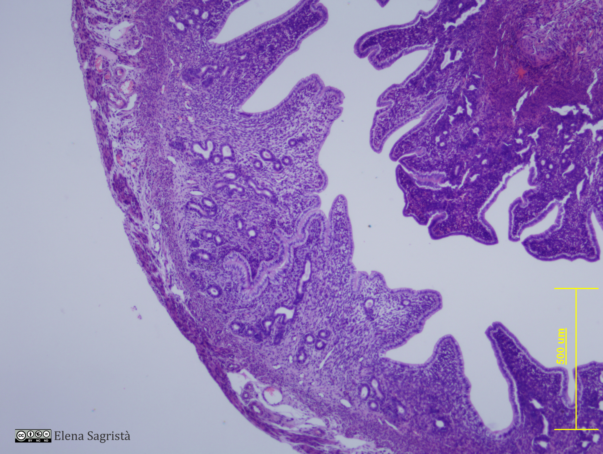
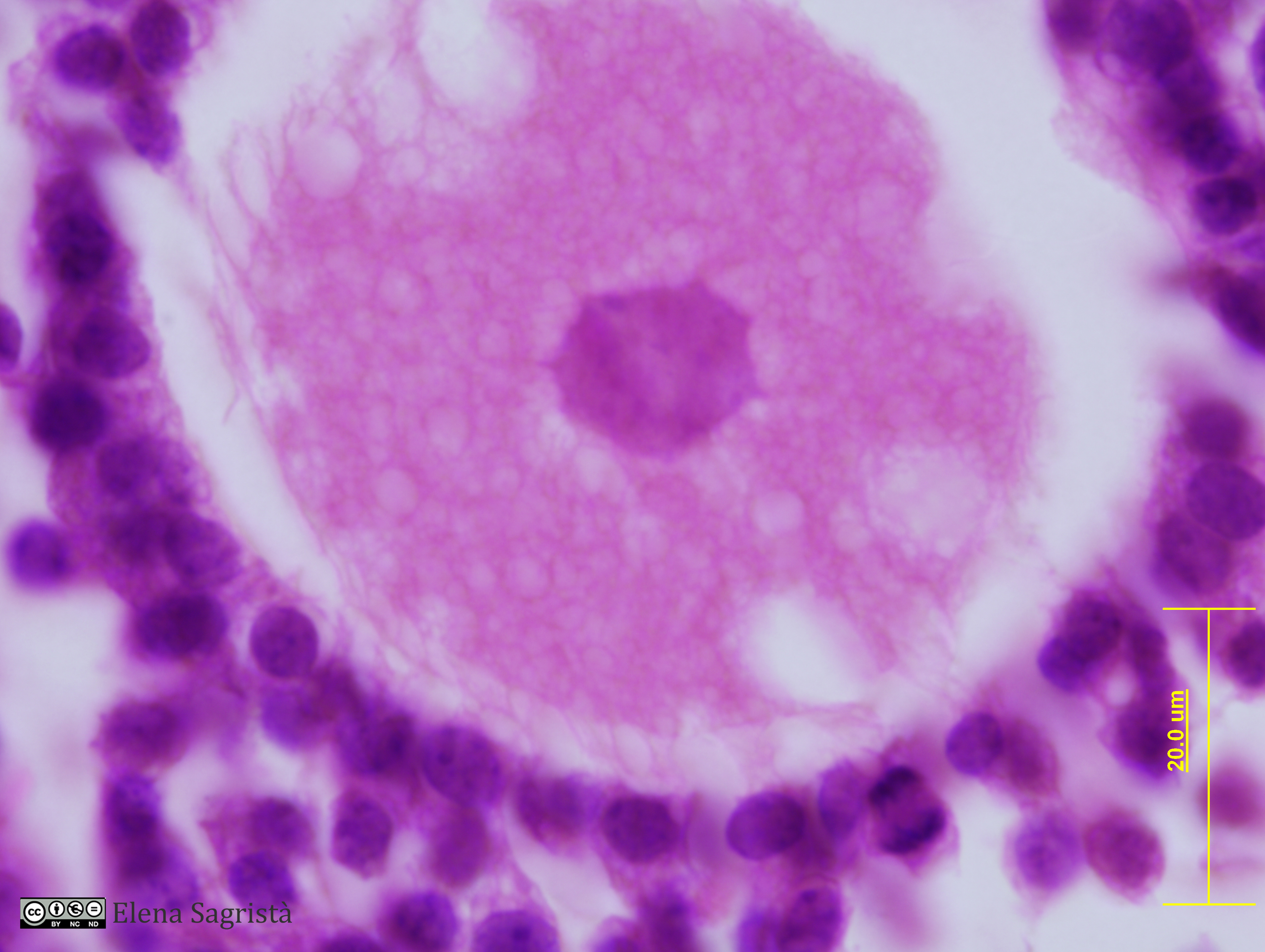
Imatges de preparacions histològiques d'Ovari i Aparell reproductor femení. Microscòpia òptica.
Matèries
Matèries (anglès)
Citació
Col·leccions
Citació
SAGRISTÀ I MATEO, Elena, Universitat de Barcelona. Departament de Biologia Cel·lular. Histologia imatges: 23 Ovari i Aparell reproductor femení. [consulta: 26 de febrer de 2026]. [Disponible a: https://hdl.handle.net/2445/61479]