El pròxim dijous 7 de maig, el Dipòsit Digital no estarà operatiu de 8:00 a 12:00 h per tasques d'actualització. Disculpeu les molèsties.
El próximo jueves 7 de mayo, el Dipòsit Digital no estará operativo de 8:00 a 12:00 h debido a tareas de actualización. Disculpen las molestias.
Our digital repository will be temporarily unavailable on Thursday, May 7th, from 8:00 a.m. to 12:00 p.m. due to a system update.
 
Si us plau utilitzeu sempre aquest identificador per citar o enllaçar aquest document: https://hdl.handle.net/2445/221618

Blood vessels: aorta

Títol de la revista

Director/Tutor

ISSN de la revista

Títol del volum

Recurs relacionat

Resum

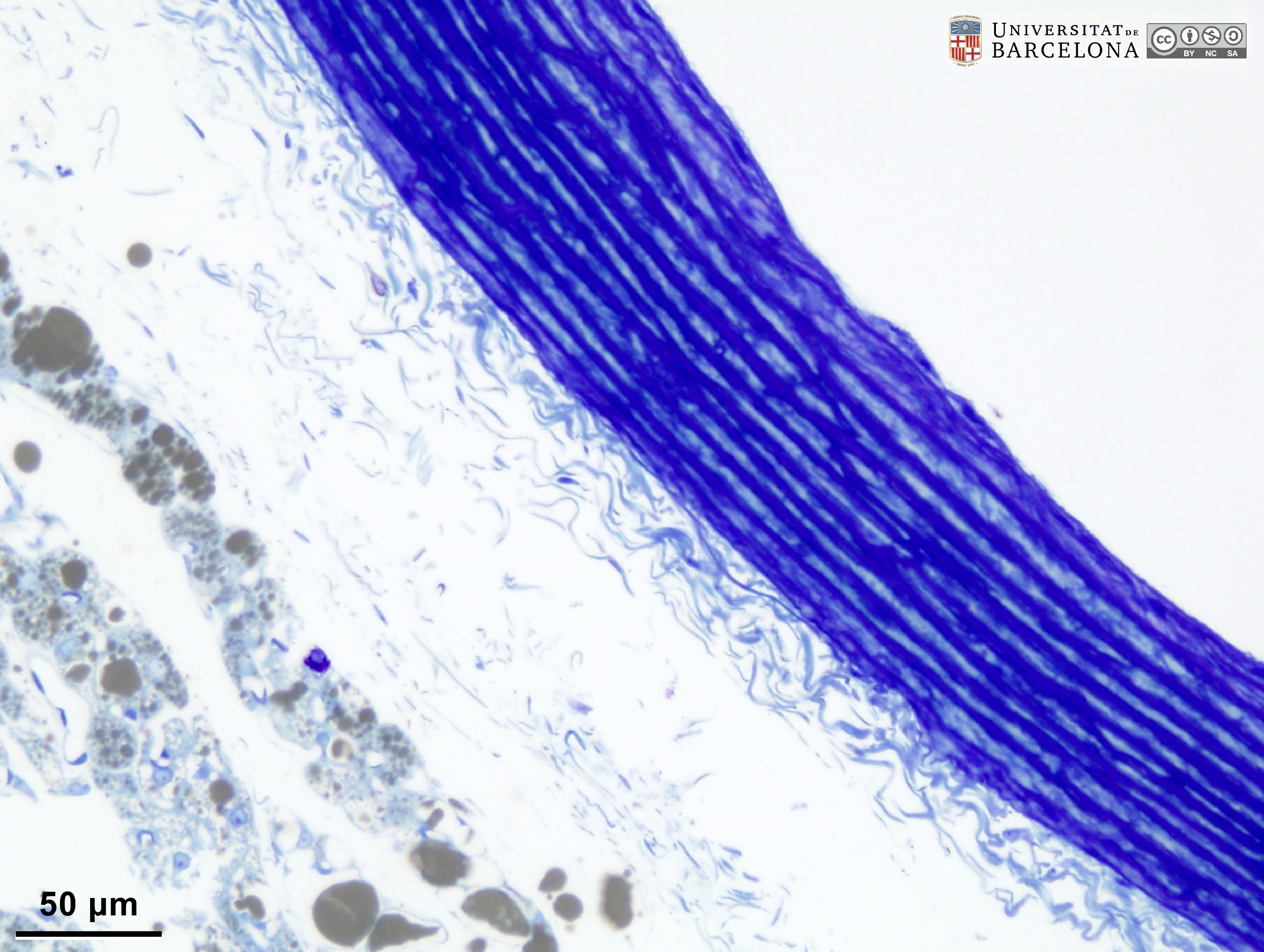
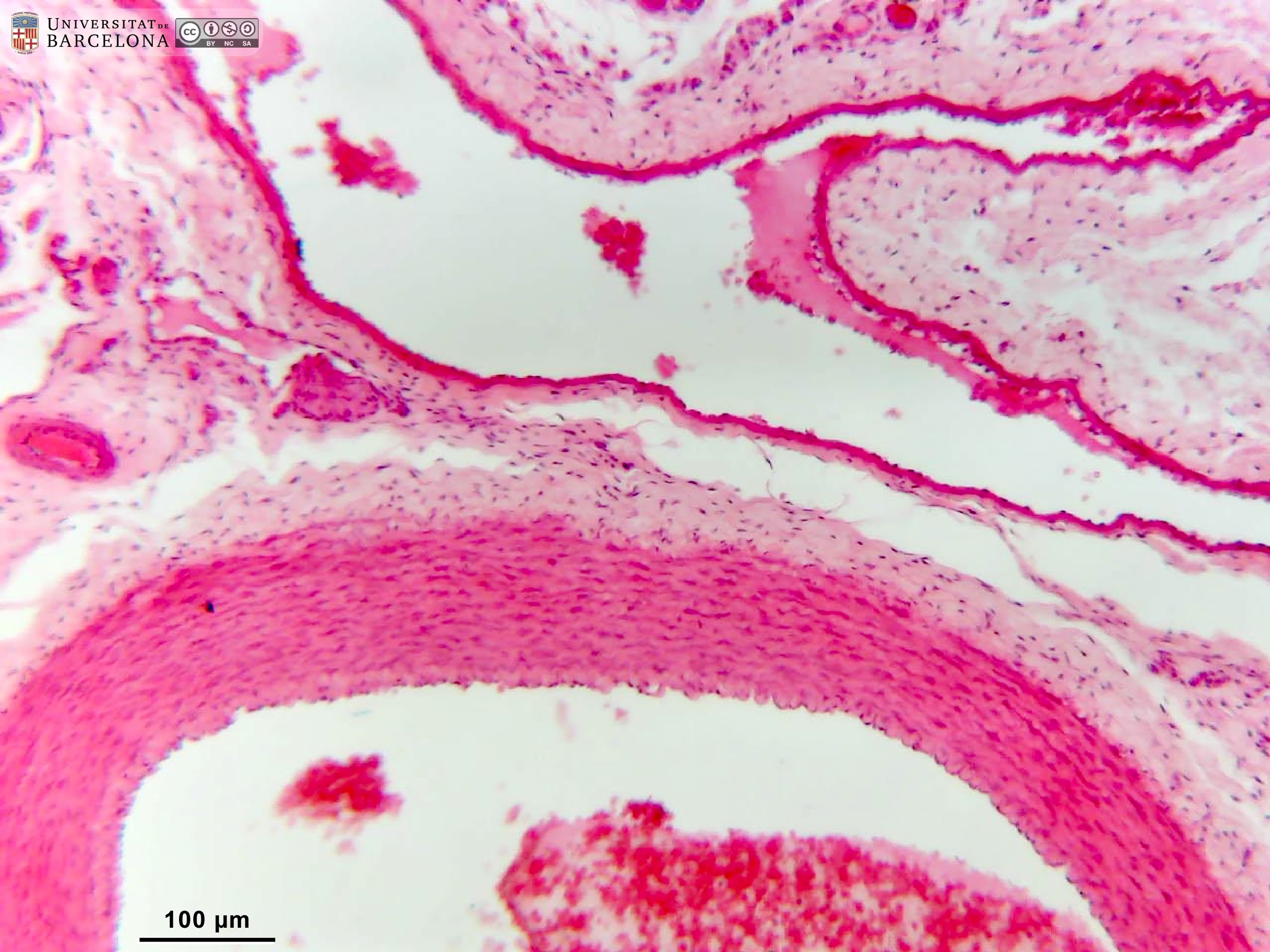
[ENG] Collection of micrographs on the organisation of the arterial wall in the aorta -thoracic and abdominal- in paraffin sections and epoxy, semithin sections. Samples from rats and other species. The three tunicae -intima, media and adventitia- are shown, including the layered pattern of elastic fibres in the tunica media. [CAT] Col·lecció de micrografies de l'organització de la paret de l'aorta (toràcica i abdominal) en talls de parafina i talls semifins de resina epoxy. Mostres de rata i altres espècies. Es mostren les tres túniques (íntima, mitjana i adventícia) amb la laminació característica de les fibres elàstiques en la túnica mitjana.

Matèries (anglès)

Citació

Citació

PÉREZ CLAUSELL, Jeús. Blood vessels: aorta. [consulta: 6 de maig de 2026]. [Disponible a: https://hdl.handle.net/2445/221618]

Exportar metadades

JSON - METS

Compartir registre