Carregant...
Tipus de document
AltresData de publicació
Llicència de publicació
Si us plau utilitzeu sempre aquest identificador per citar o enllaçar aquest document: https://hdl.handle.net/2445/222504
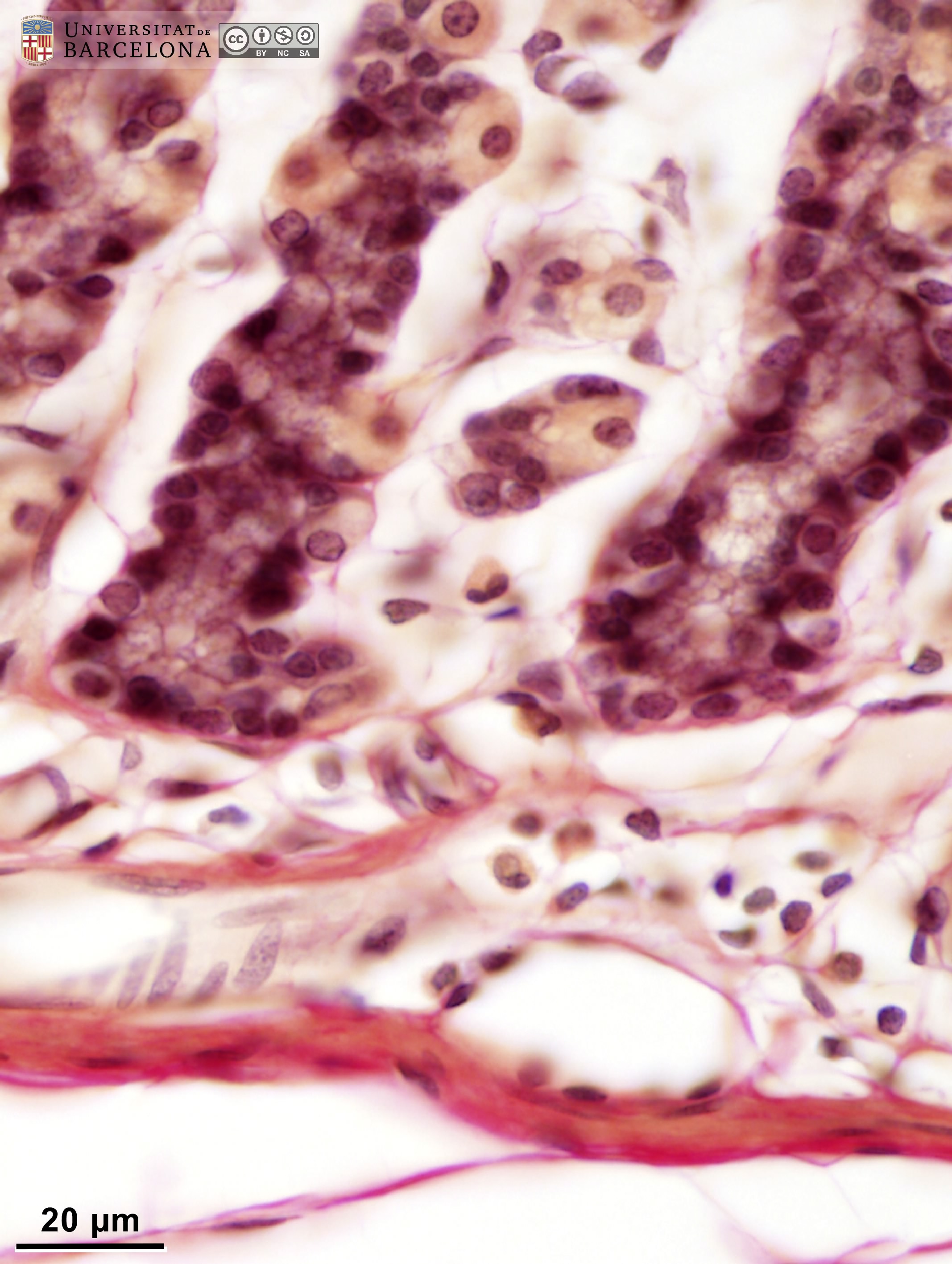
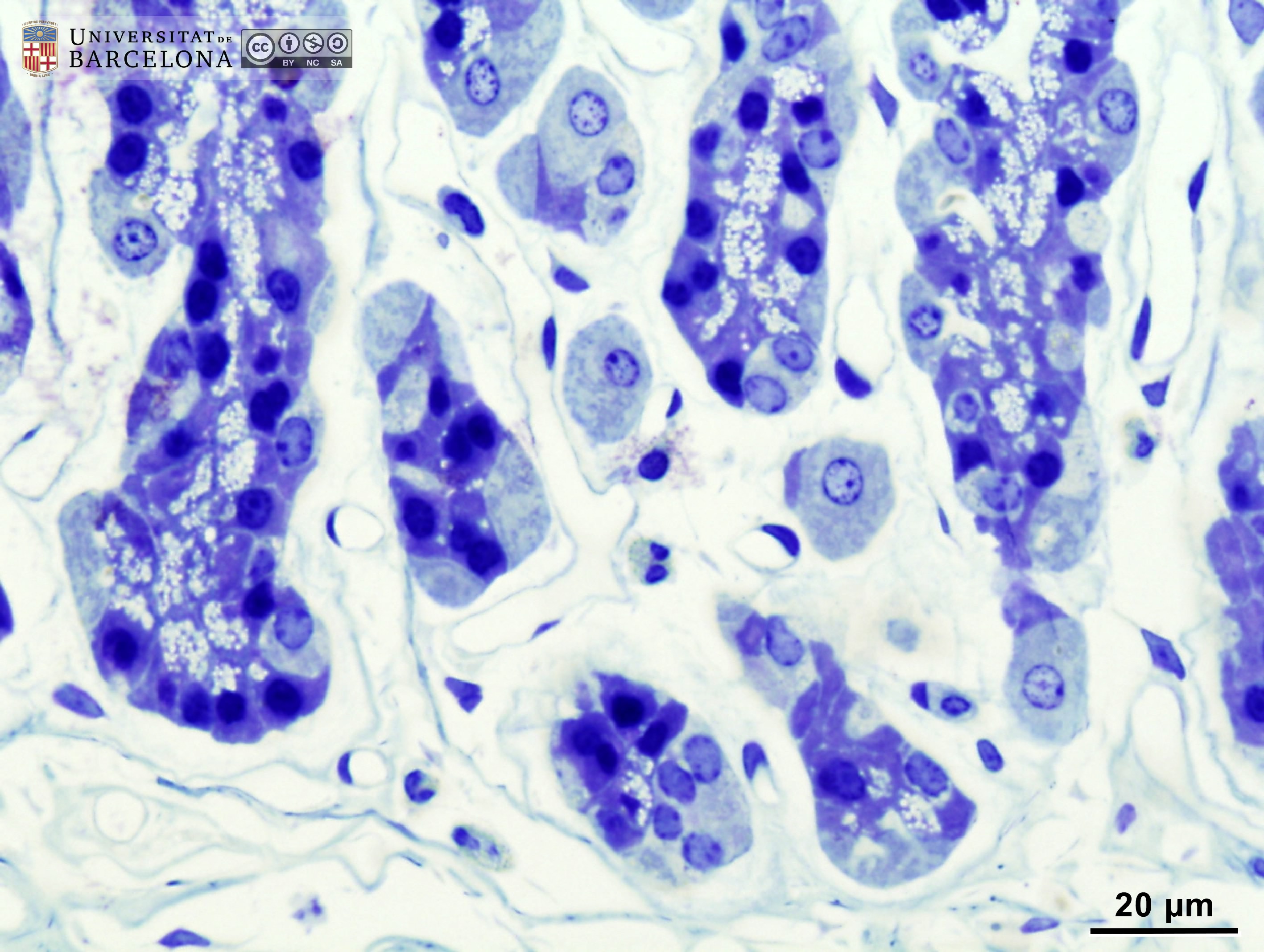
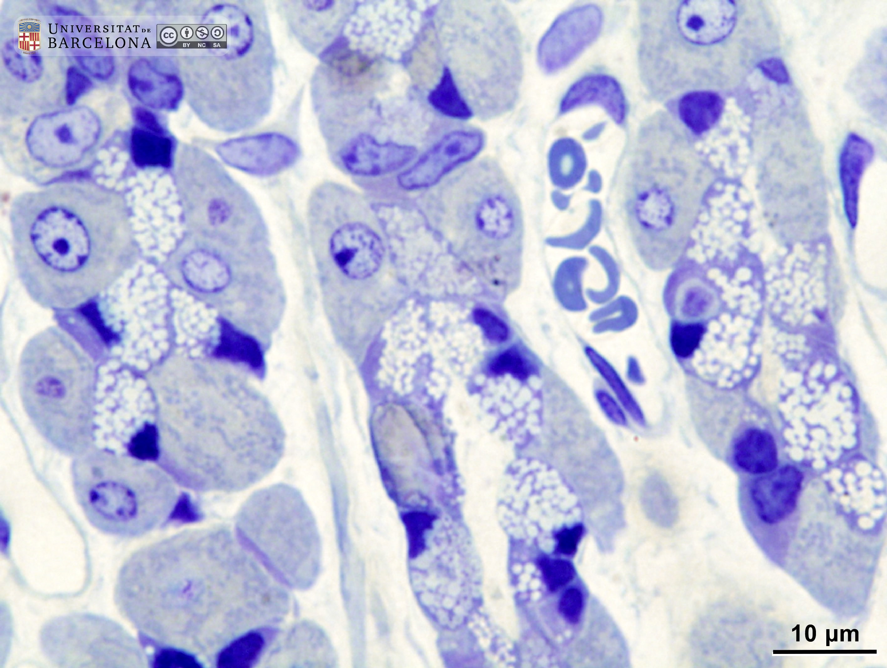
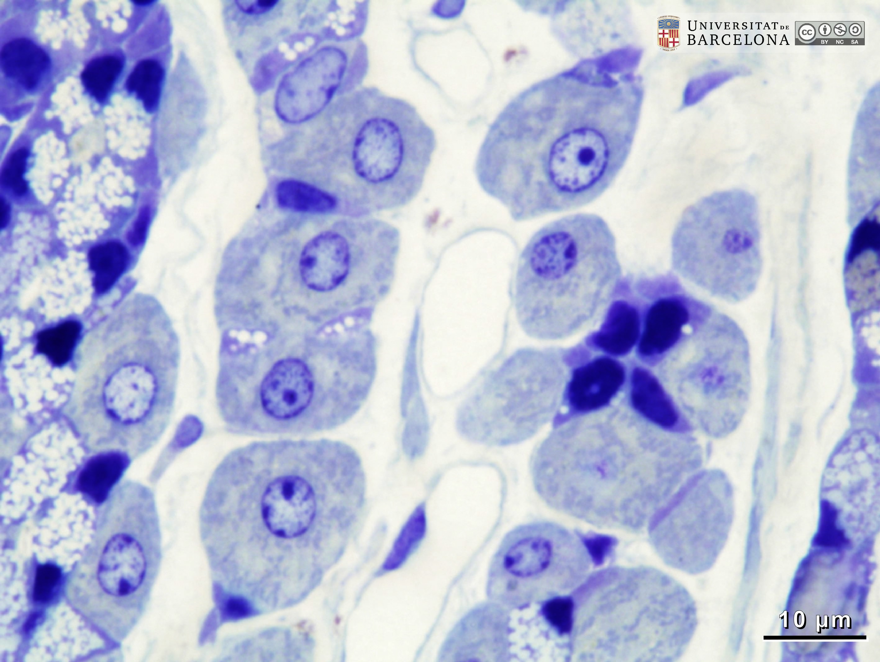
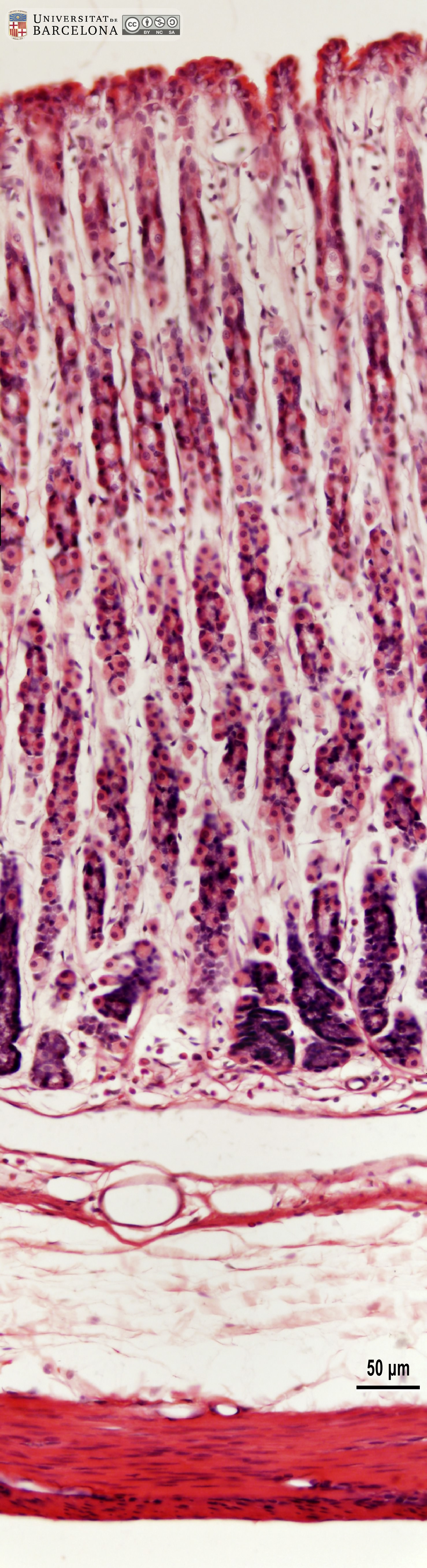
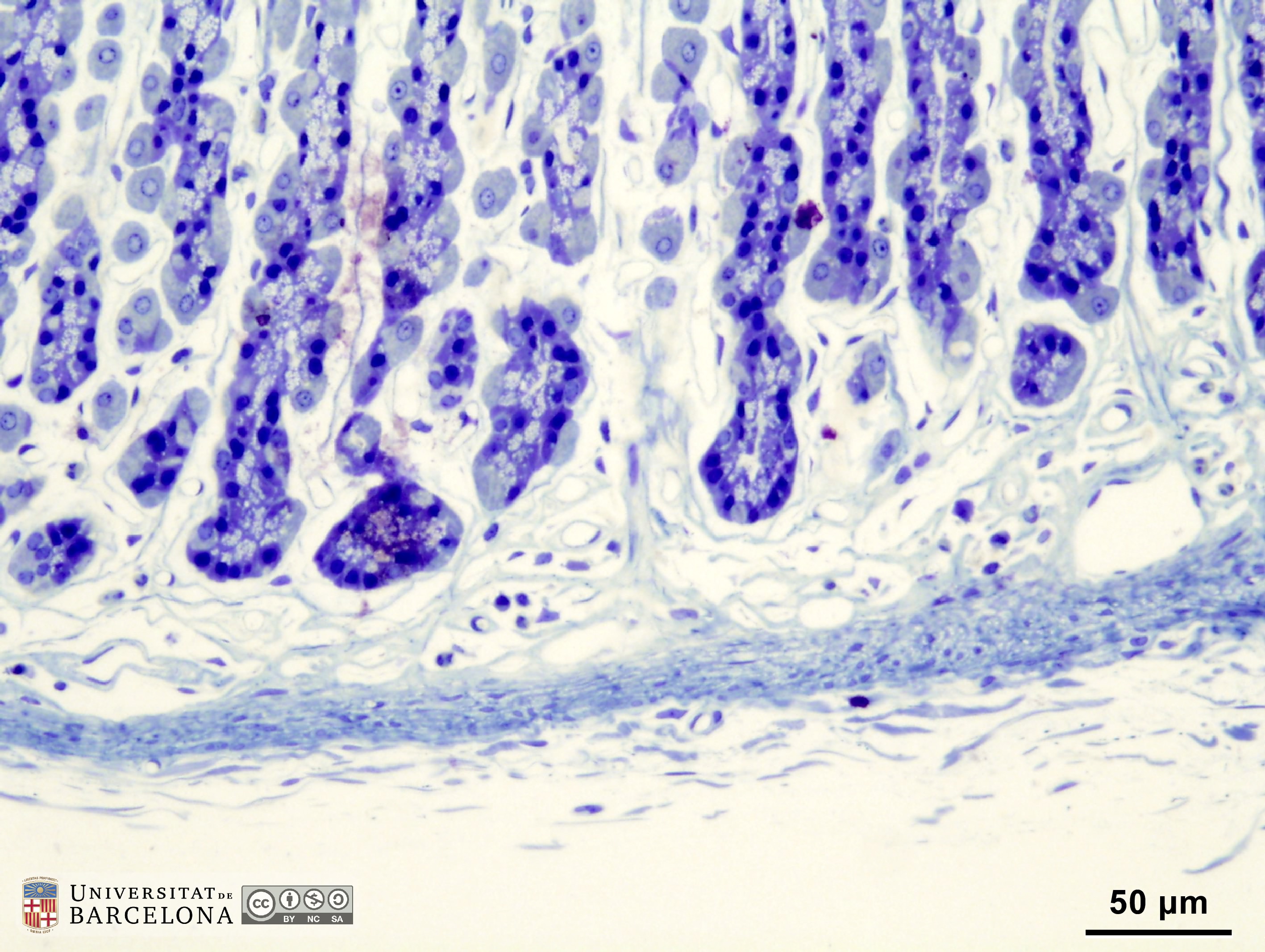
Stomach: histological organisation of the gastric wall
Títol de la revista
Director/Tutor
ISSN de la revista
Títol del volum
Recurs relacionat
Resum
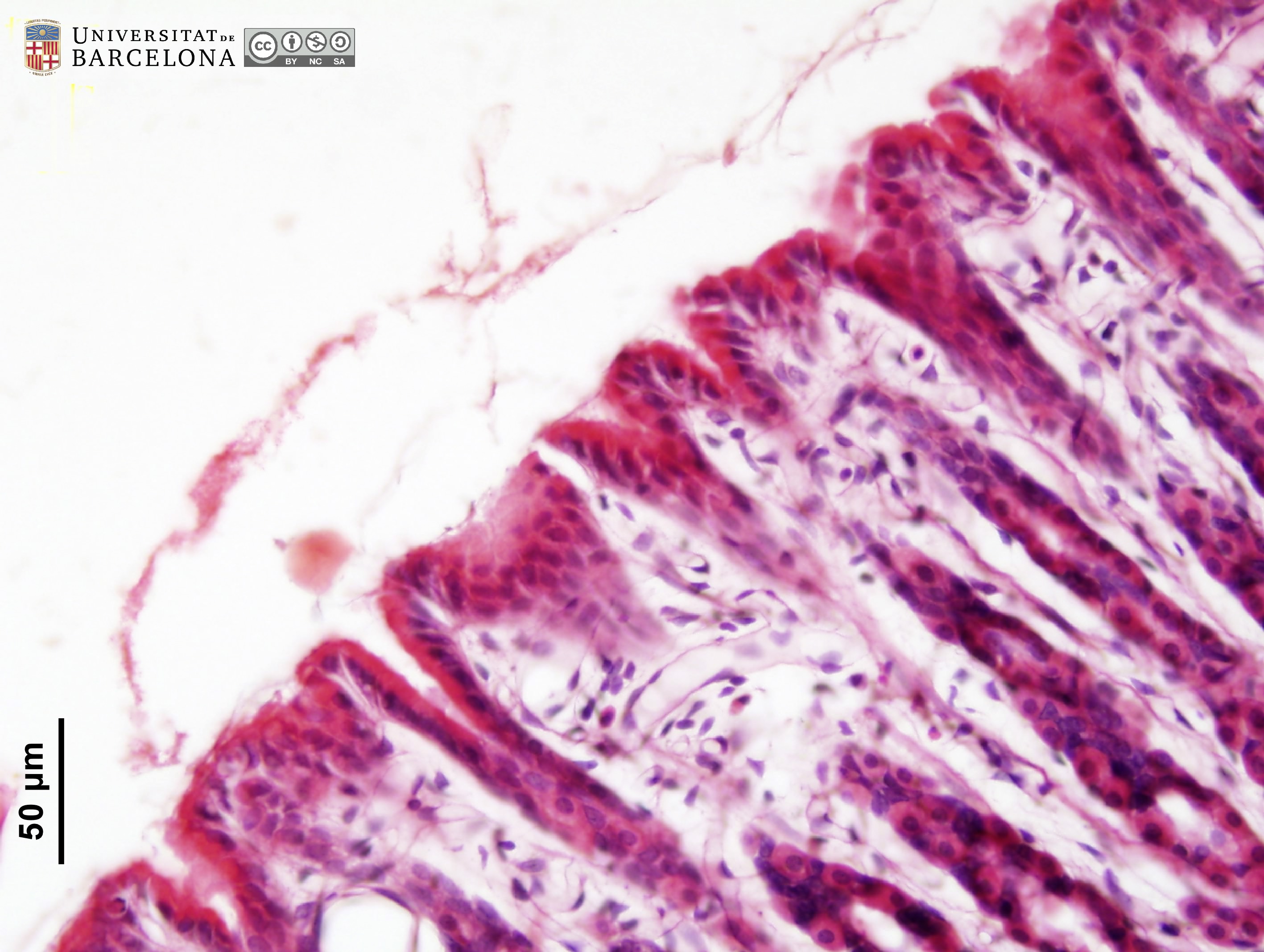
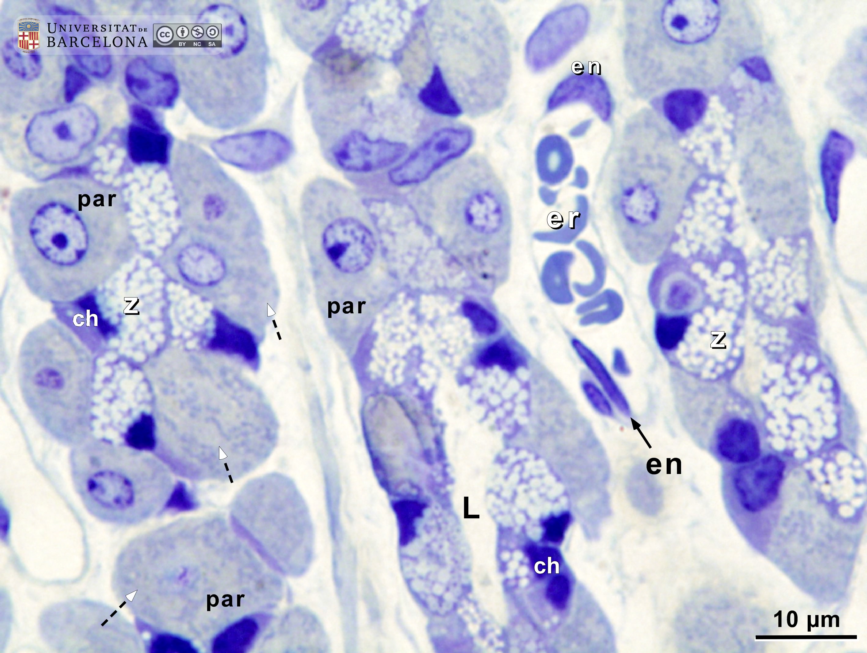
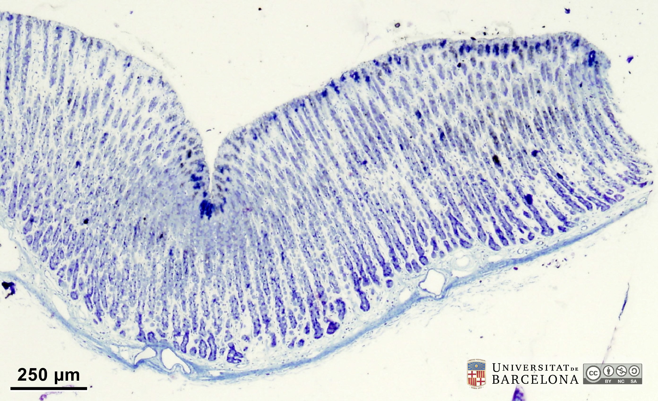
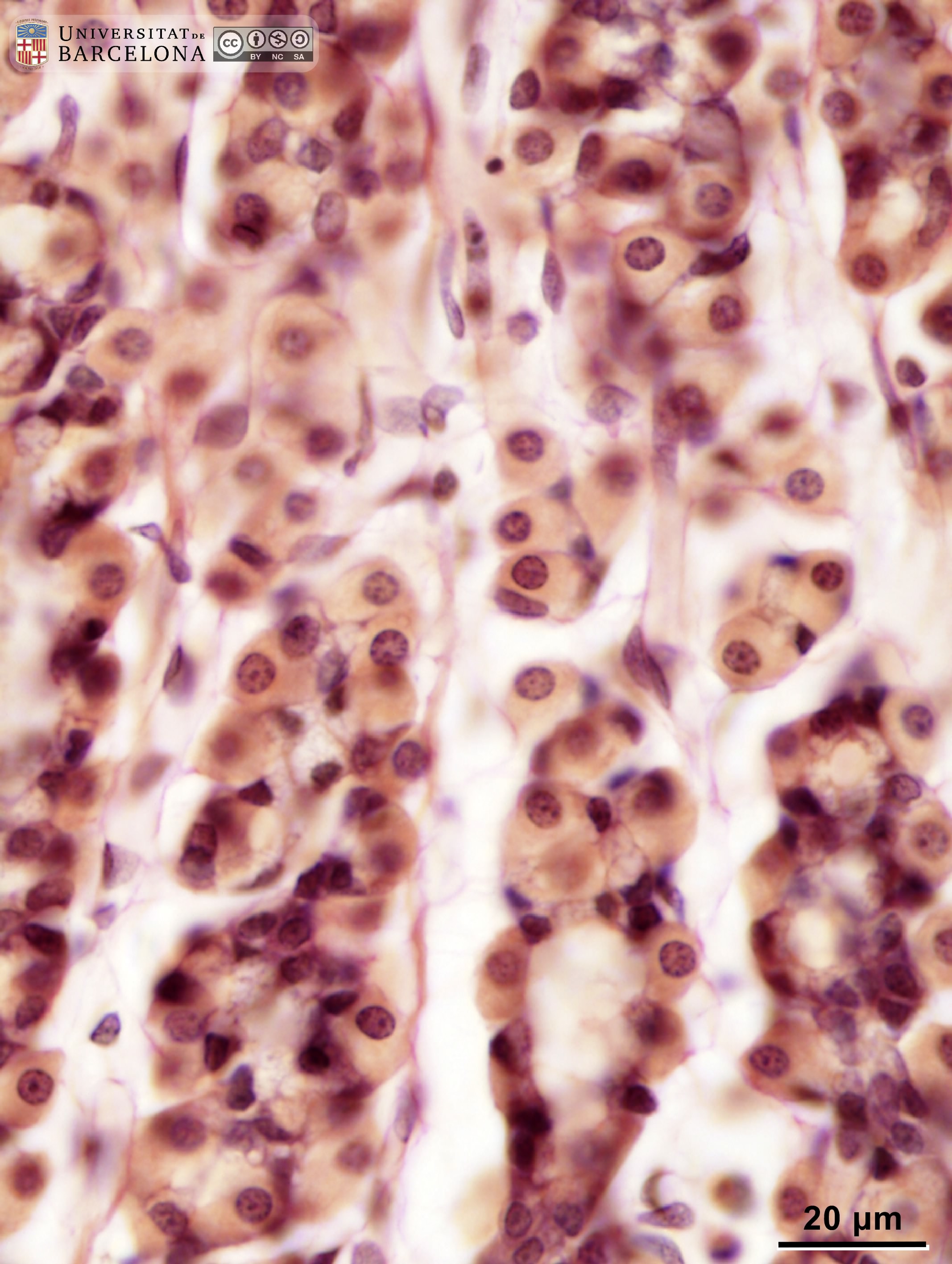
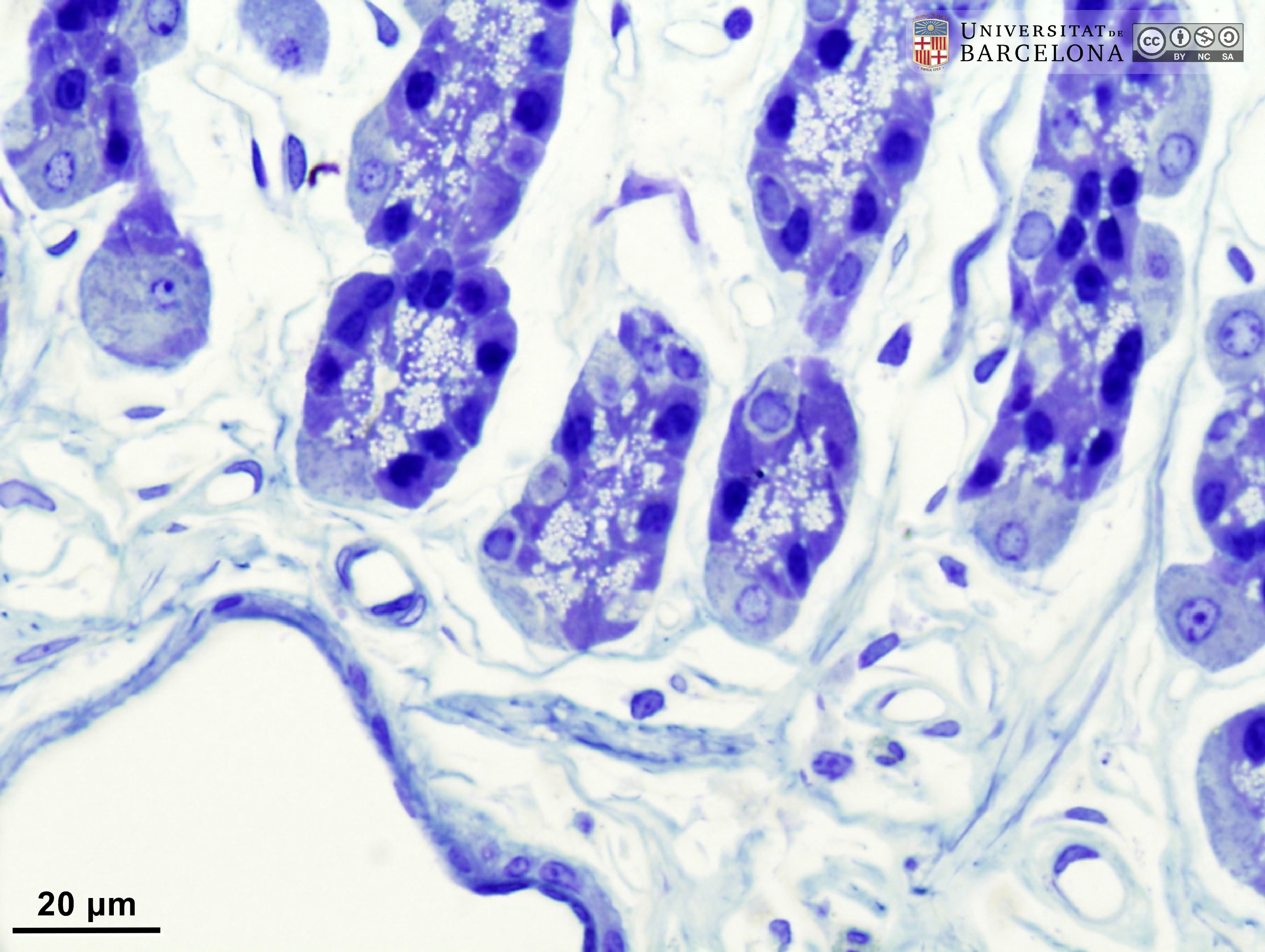
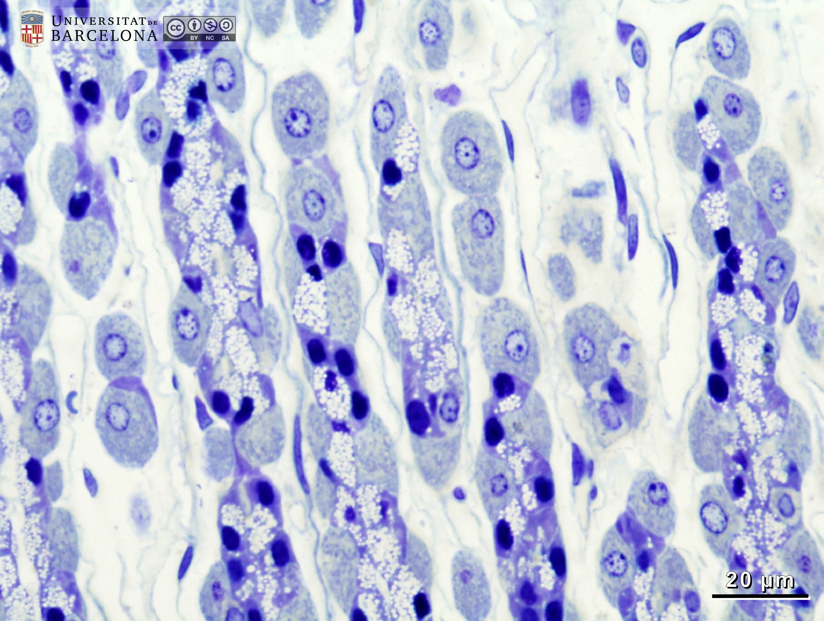
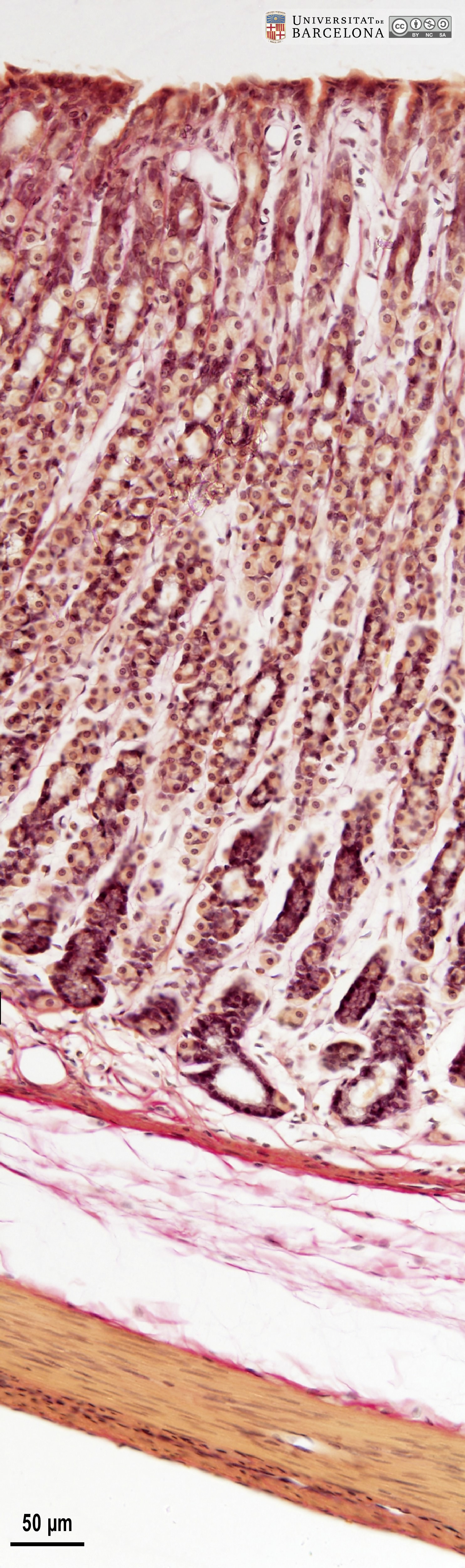
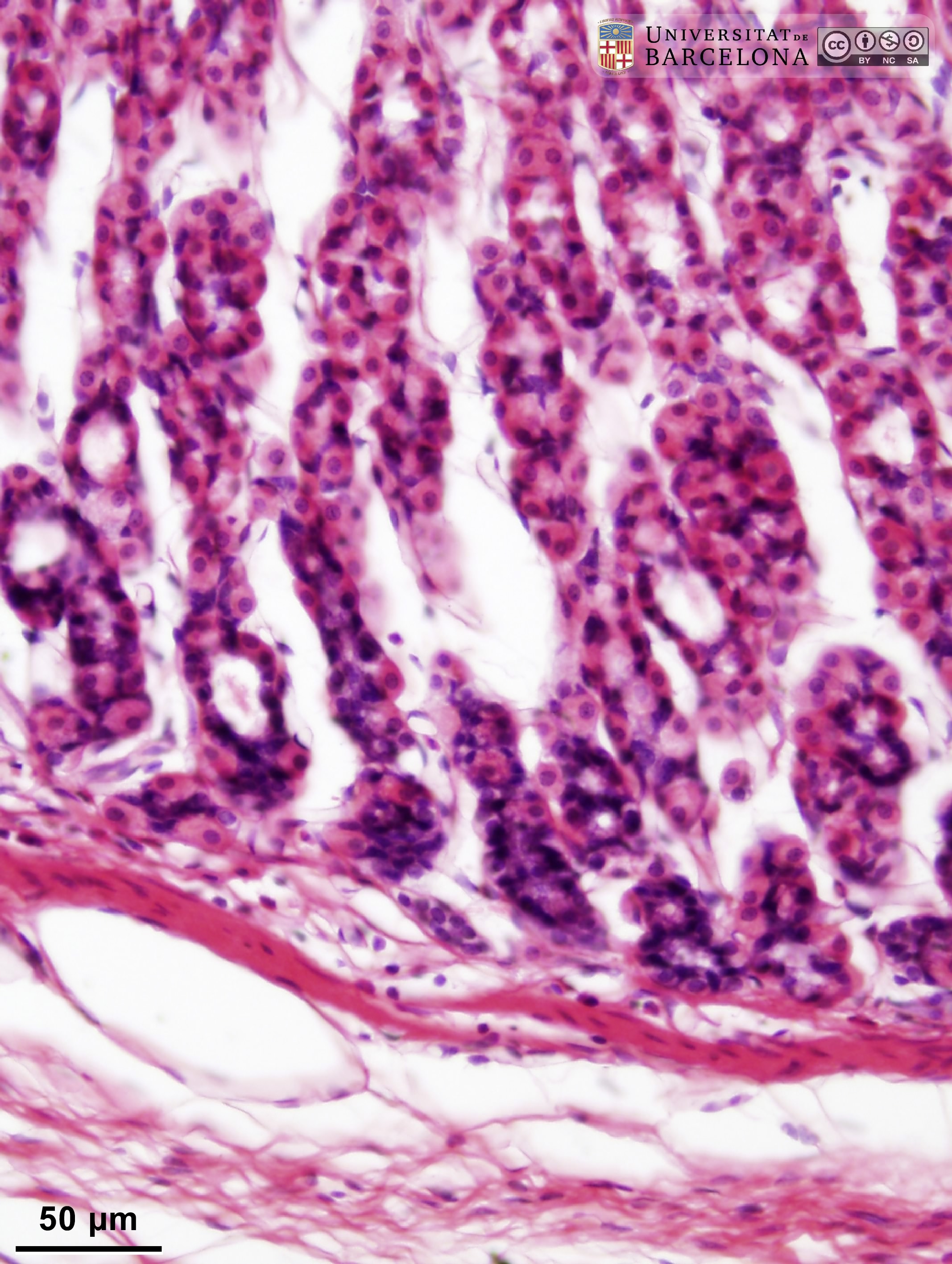
[ENG] A collection of micrographs illustrating the organisation of the stomach in rats. The layers of the gastric wall and their components –such as blood vessels, fibres and cell types– are shown in paraffin sections stained with hæmatoxylin-eosin stain or van Gieson trichrome. Semithin sections 2 µm thick were stained with toluidine blue. This collection complements the micrographs published by Dr Elena Sagristà i Mateo https://hdl.handle.net/2445/60213 — See also: https://diposit.ub.edu/dspace/browse?type=author&value=Sagrist%C3%A0+i+Mateo%2C+Elena
[CAT] Col·lecció de micrografies de l'organització de l'estómac de la rata. Es mostren les capes de la paret estomacal i els seus components (vasos sanguinis, fibres, tipus cel·lulars, etc.) en talls de parafina tenyits amb hematoxilina-eosina o el tricròmic de van Gieson i talls semifins de resina epoxi tenyits amb blau de toluïdina. Aquesta col·lecció complementa les micrografies publicades per la Dra. Elena Sagristà i Mateo https://hdl.handle.net/2445/60213 — I també: https://diposit.ub.edu/dspace/browse?type=author&value=Sagrist%C3%A0+i+Mateo%2C+Elena
[CAT] Col·lecció de micrografies de l'organització de l'estómac de la rata. Es mostren les capes de la paret estomacal i els seus components (vasos sanguinis, fibres, tipus cel·lulars, etc.) en talls de parafina tenyits amb hematoxilina-eosina o el tricròmic de van Gieson i talls semifins de resina epoxi tenyits amb blau de toluïdina. Aquesta col·lecció complementa les micrografies publicades per la Dra. Elena Sagristà i Mateo https://hdl.handle.net/2445/60213 — I també: https://diposit.ub.edu/dspace/browse?type=author&value=Sagrist%C3%A0+i+Mateo%2C+Elena
Matèries
Matèries (anglès)
Citació
Cite as: Pérez-Clausell J (2025). Stomach: histological organisation of the gastric wall. Universitat de Barcelona. Departament de Biologia Cel·lular, Fisiologia i Immunologia. Dipòsit digital UB [consulted on 7/23/2025] https://hdl.handle.net/2445/222504
Col·leccions
Citació
PÉREZ CLAUSELL, Jeús, UNIVERSITAT DE BARCELONA. DEPARTAMENT DE BIOLOGIA CEL·LULAR, Fisiologia i immunologia. Stomach: histological organisation of the gastric wall. [consulta: 24 de desembre de 2025]. [Disponible a: https://hdl.handle.net/2445/222504]