Avui, dijous 7 de maig, el Dipòsit Digital no estarà operatiu per tasques d'actualització. Disculpeu les molèsties.
Hoy, jueves 7 de mayo, el Dipòsit Digital no estará operativo debido a tareas de actualización. Disculpen las molestias.
Today, Thursday, May 7th, the Digital Repository will be unavailable due to a system update.
Si us plau utilitzeu sempre aquest identificador per citar o enllaçar aquest document: https://hdl.handle.net/2445/60213

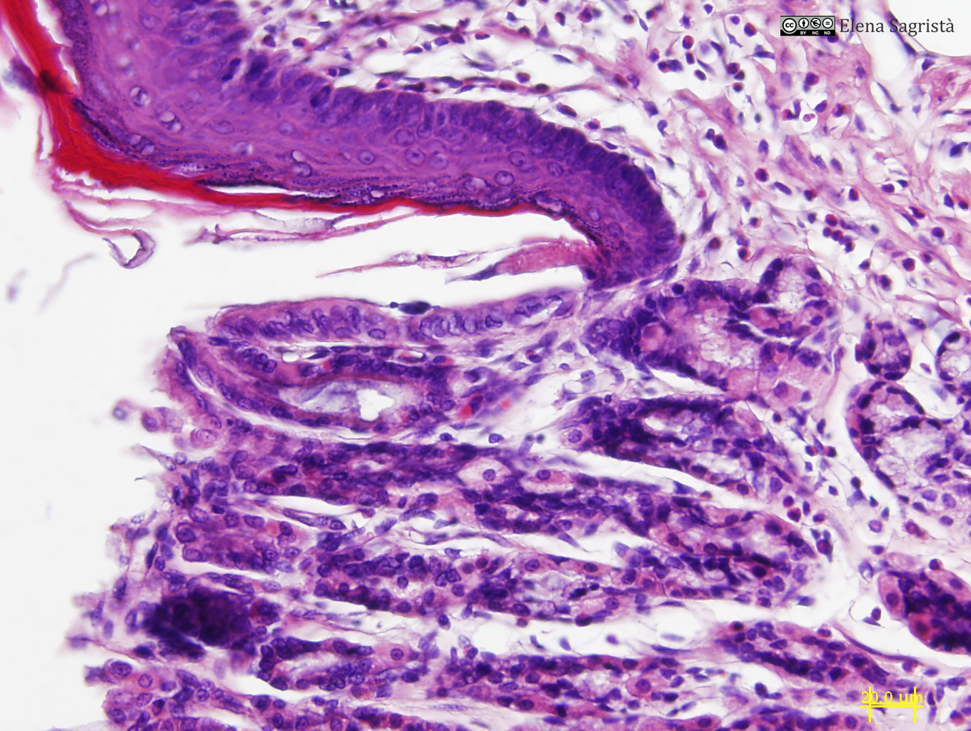
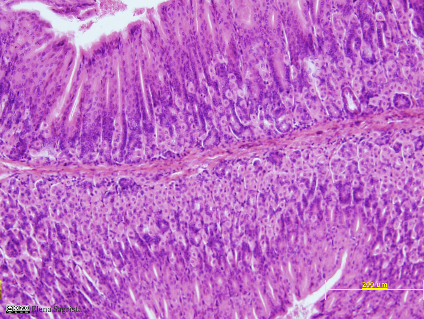
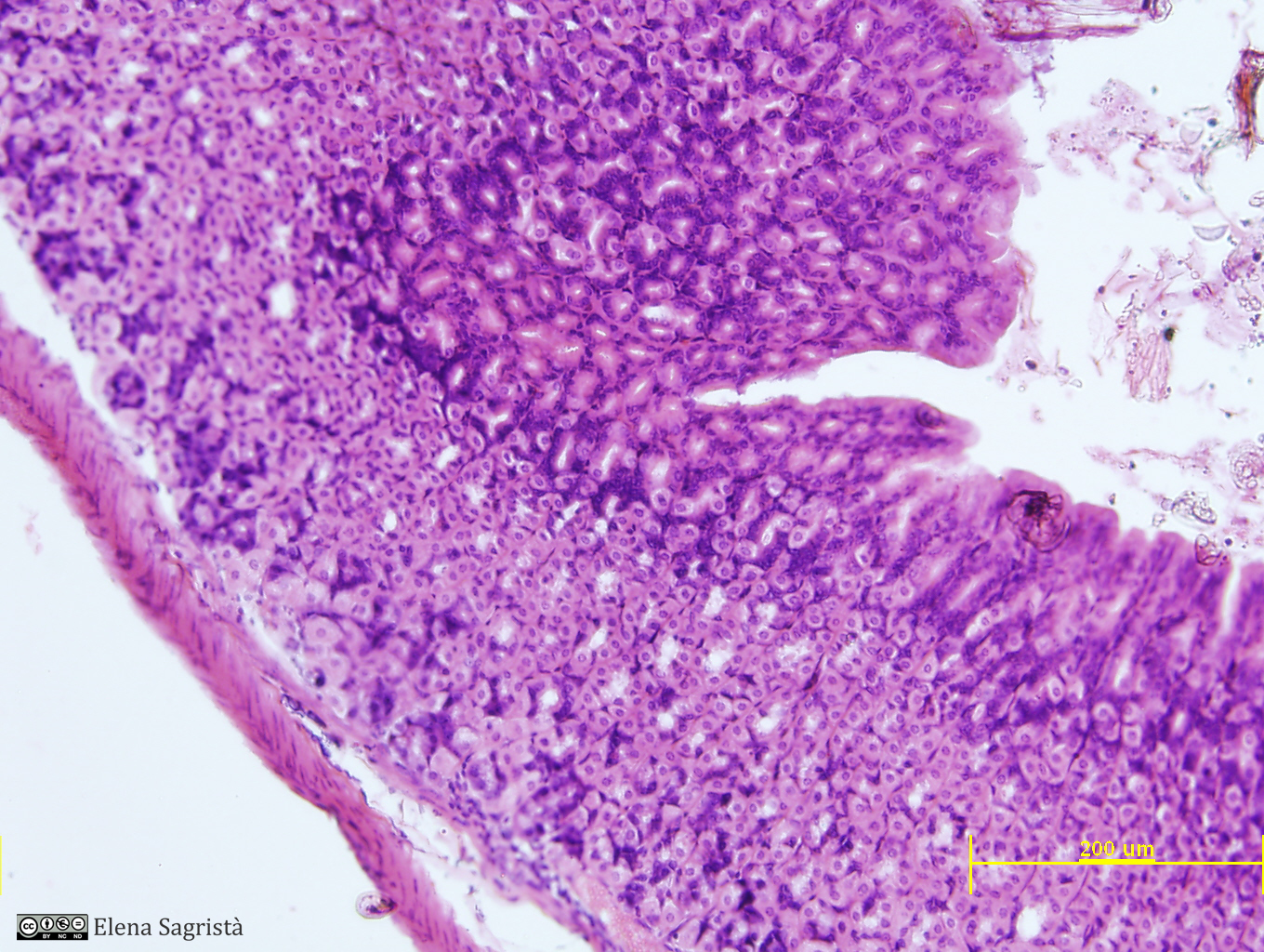
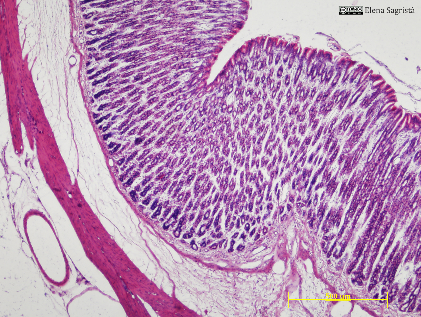
Histologia imatges: 16 Estòmac

Títol de la revista

Director/Tutor

ISSN de la revista

Títol del volum

Recurs relacionat

Resum

Imatges de preparacions histològiques d'Estómac. Microscopia òptica.

Citació

Citació

SAGRISTÀ I MATEO, Elena i Universitat de Barcelona. Departament de Biologia Cel·lular. Histologia imatges: 16 Estòmac. [consulta: 8 de maig de 2026]. Disponible a: https://hdl.handle.net/2445/60213

Exportar metadades

JSON - METS

Compartir registre