Histologia imatges: 15 Esòfag
| dc.contributor.author | Sagristà i Mateo, Elena | |
| dc.contributor.author | Universitat de Barcelona. Departament de Biologia Cel·lular | |
| dc.date.accessioned | 2014-11-25T13:14:08Z | |
| dc.date.available | 2014-11-25T13:14:08Z | |
| dc.date.issued | 2014-11 | |
| dc.description.abstract | Imatges de preparacions histològiques d'Esòfag. Microscopia òptica. | ca |
| dc.format.extent | 17 imatges | |
| dc.format.mimetype | image/jpeg | |
| dc.identifier.uri | https://hdl.handle.net/2445/60016 | |
| dc.language.iso | cat | ca |
| dc.rights | cc-by-nc-nd (c) Sagristà, 2014 | |
| dc.rights.accessRights | info:eu-repo/semantics/openAccess | ca |
| dc.rights.uri | http://creativecommons.org/licenses/by-nc-nd/3.0/es/ | |
| dc.source | OMADO (Objectes i MAterials DOcents) | |
| dc.subject.classification | Histologia | cat |
| dc.subject.classification | Microscòpia | cat |
| dc.subject.classification | Esòfag | cat |
| dc.subject.other | Universitat de Barcelona. Departament de Biologia Cel·lular | |
| dc.title | Histologia imatges: 15 Esòfag | cat |
| dc.type | info:eu-repo/semantics/other | ca |
Fitxers
Paquet original
1 - 5 de 17
Carregant...
- Nom:
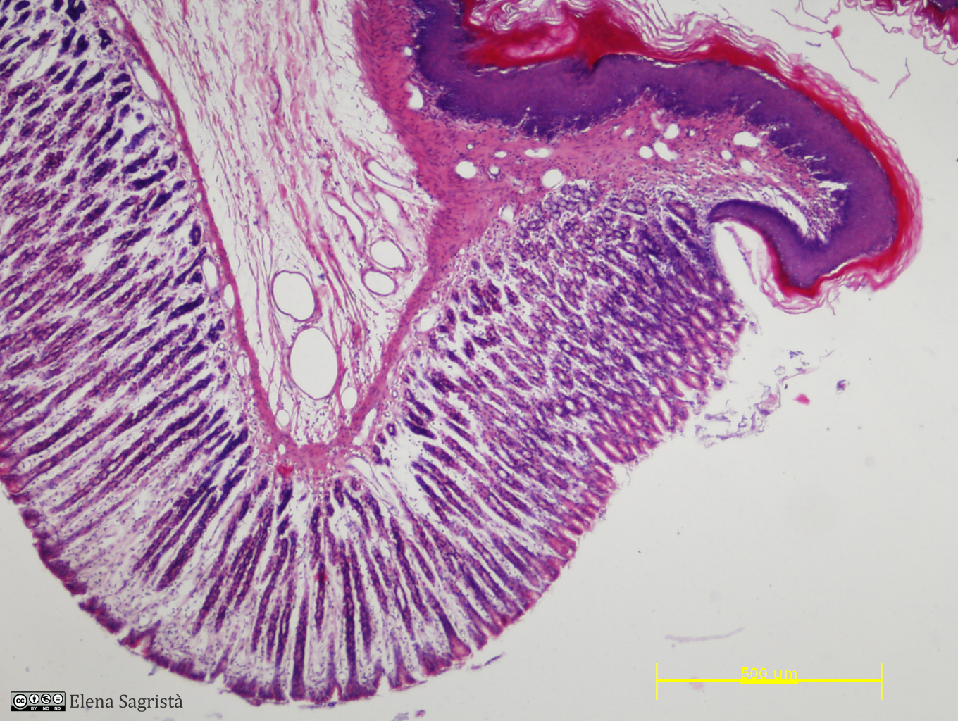
- 01 Esofag gral (HE).jpg
- Mida:
- 4.61 MB
- Format:
- Joint Photographic Experts Group/JPEG File Interchange Format (JFIF)
Carregant...
- Nom:
- 02 Esofag detall mucosa, epiteli lamina propia i muscularis mucosae (HE).jpg
- Mida:
- 4.53 MB
- Format:
- Joint Photographic Experts Group/JPEG File Interchange Format (JFIF)
Carregant...
- Nom:
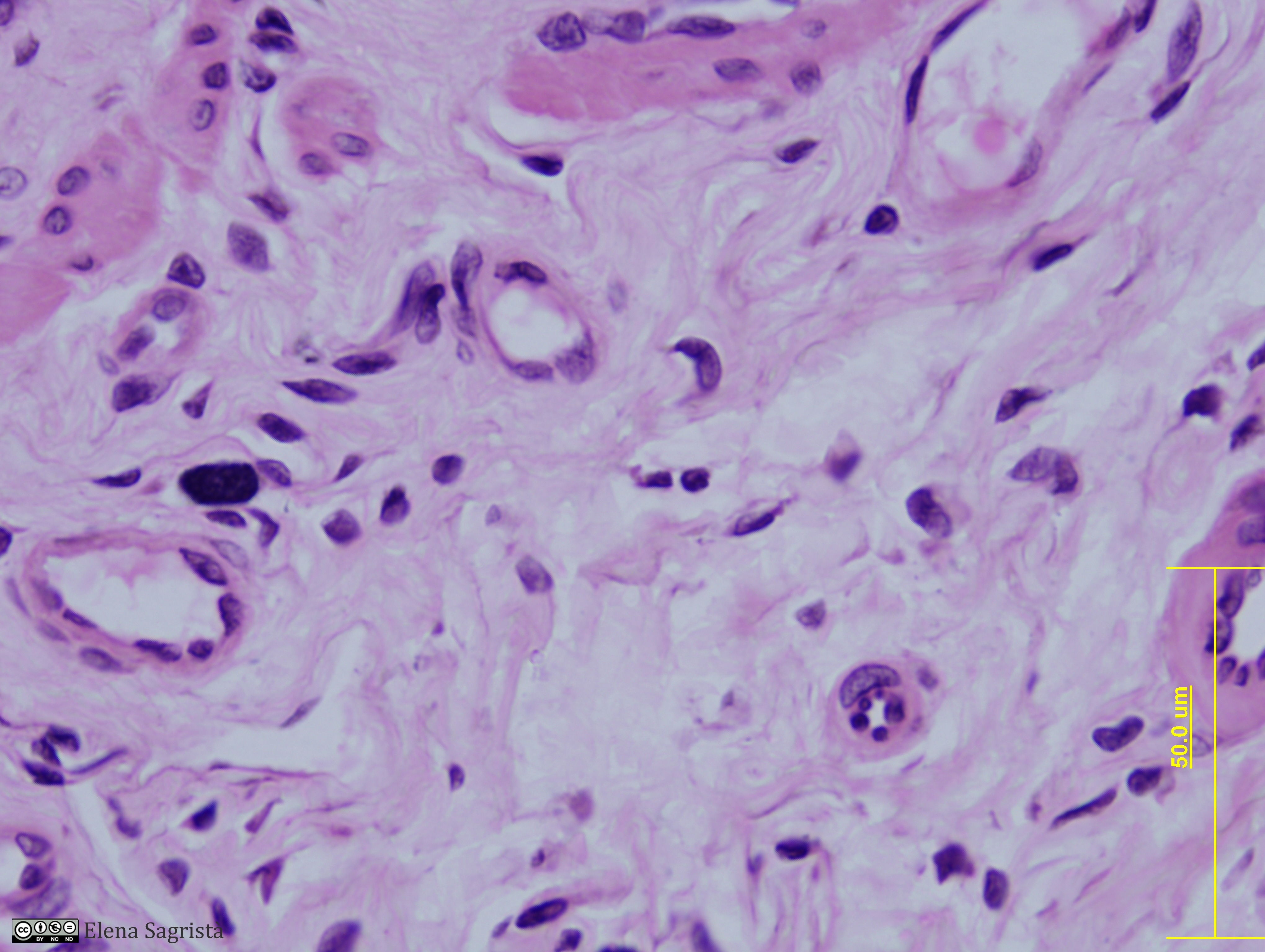
- 03 Teixit conjuntiu laxe lamina propia esofag detall (HE).jpg
- Mida:
- 4.18 MB
- Format:
- Joint Photographic Experts Group/JPEG File Interchange Format (JFIF)
Carregant...
- Nom:
- 04 Teixit cojuntiu detall lamina propia esofag col·lagena capil·lars algun mastocit (HE).jpg
- Mida:
- 4.49 MB
- Format:
- Joint Photographic Experts Group/JPEG File Interchange Format (JFIF)
Carregant...
- Nom:
- 05 Unio Esofag Estomac Cardias Detall (HE).jpg
- Mida:
- 1.33 MB
- Format:
- Joint Photographic Experts Group/JPEG File Interchange Format (JFIF)