El pròxim dijous 7 de maig, el Dipòsit Digital no estarà operatiu de 8:00 a 12:00 h per tasques d'actualització. Disculpeu les molèsties.
El próximo jueves 7 de mayo, el Dipòsit Digital no estará operativo de 8:00 a 12:00 h debido a tareas de actualización. Disculpen las molestias.
Our digital repository will be temporarily unavailable on Thursday, May 7th, from 8:00 a.m. to 12:00 p.m. due to a system update.
 
Si us plau utilitzeu sempre aquest identificador per citar o enllaçar aquest document: https://hdl.handle.net/2445/60015

Histologia imatges: 14 Llengua

Títol de la revista

Director/Tutor

ISSN de la revista

Títol del volum

Recurs relacionat

Resum

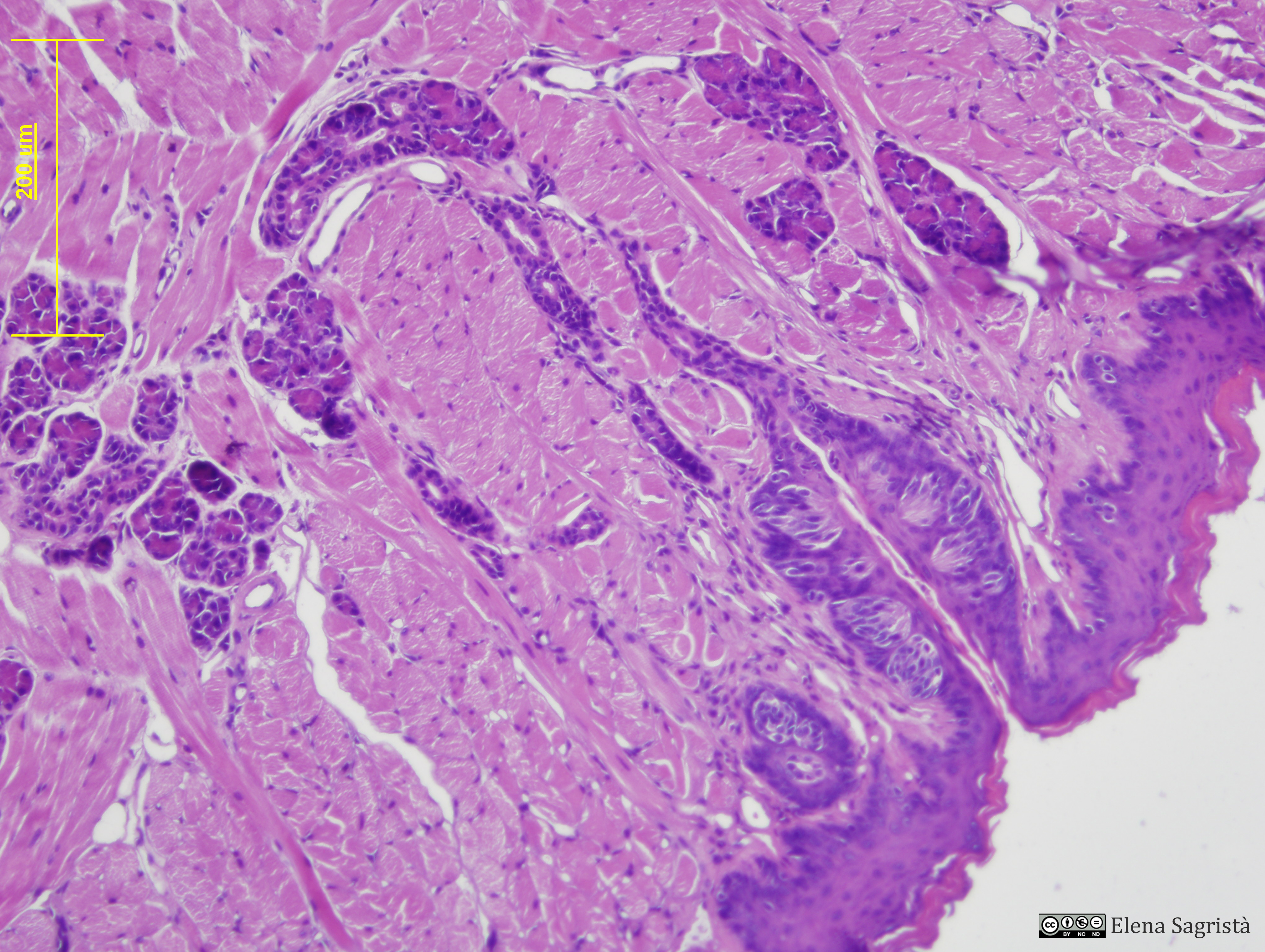
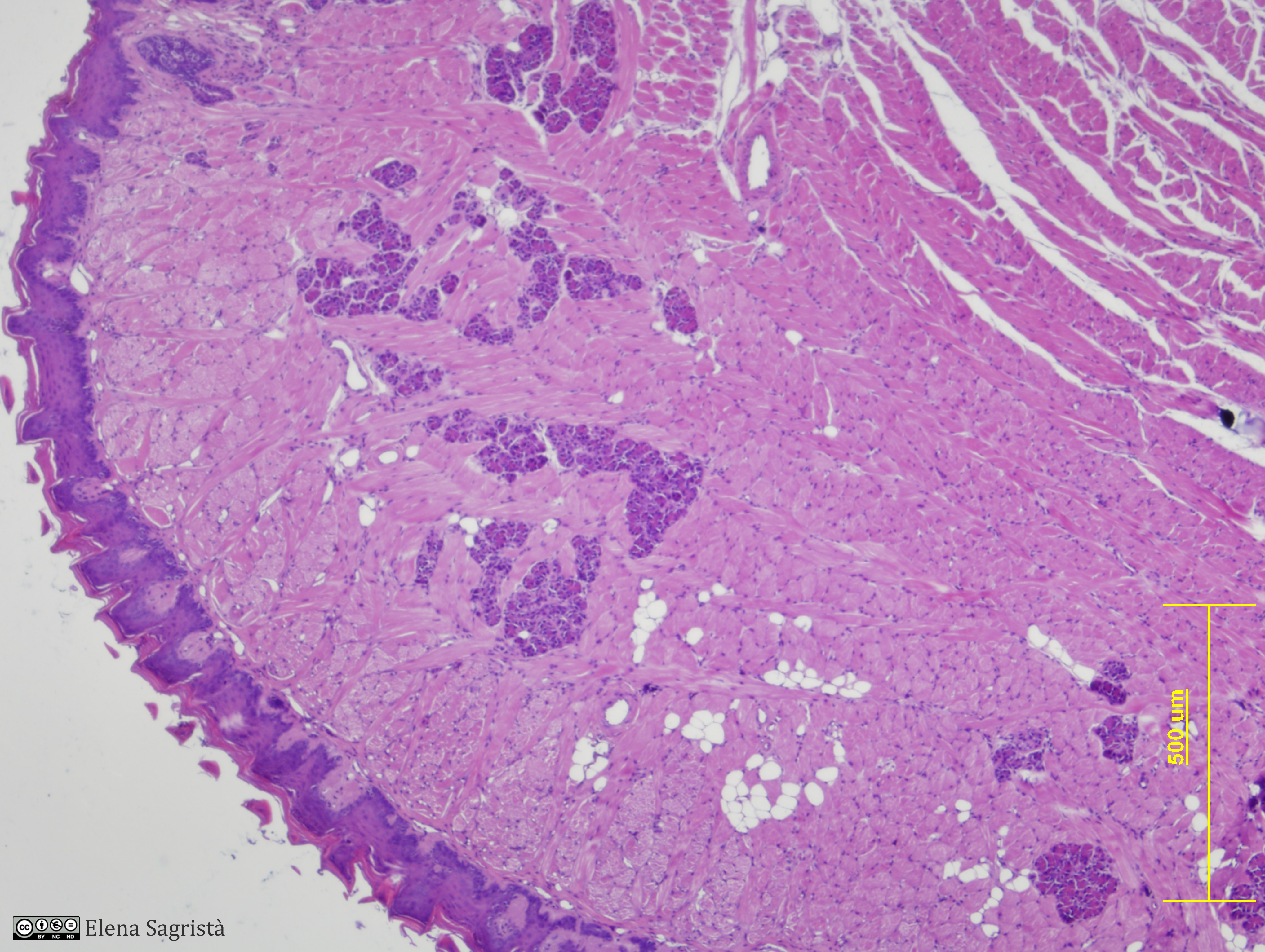
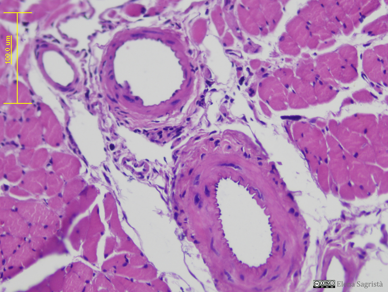
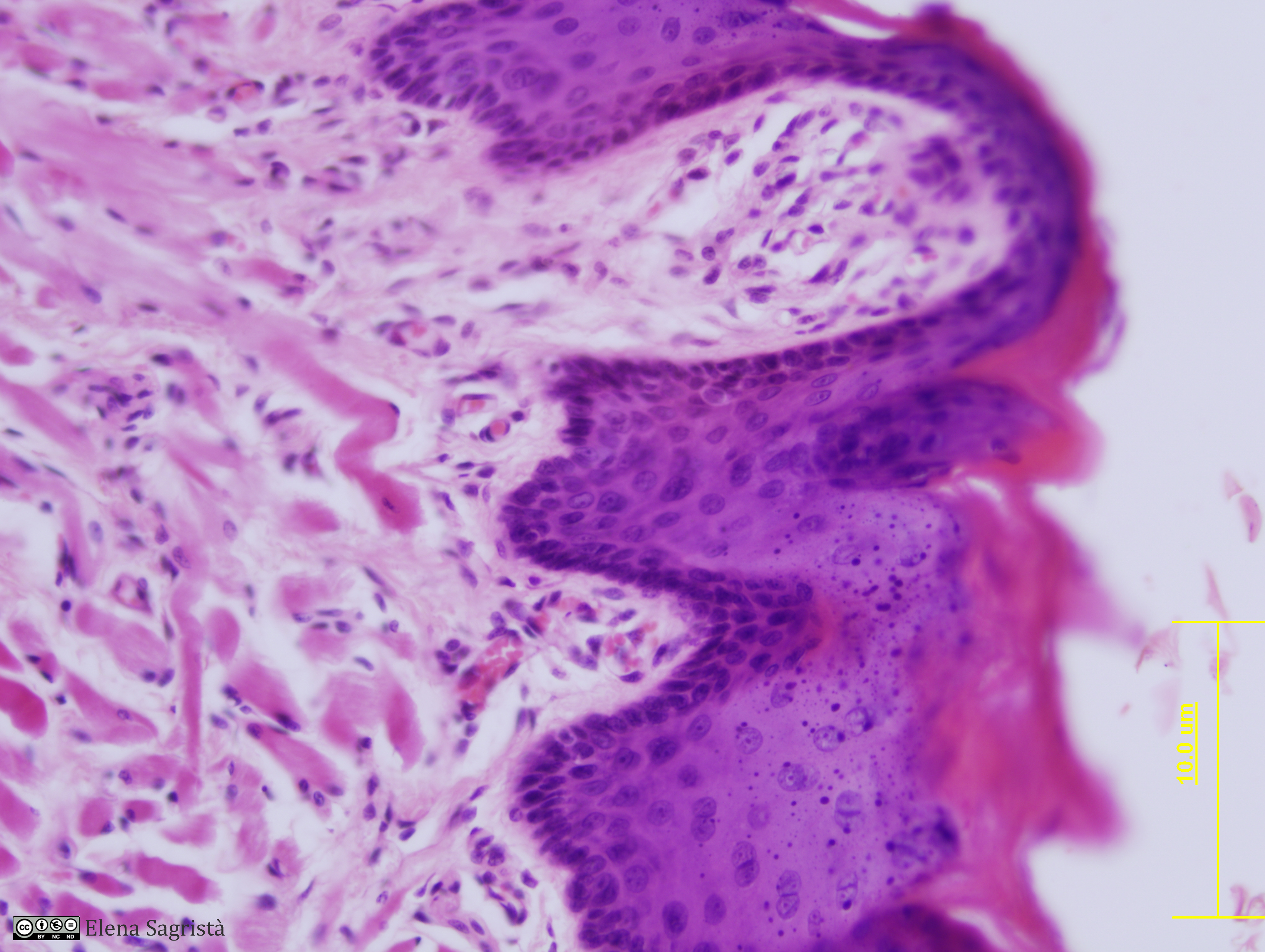
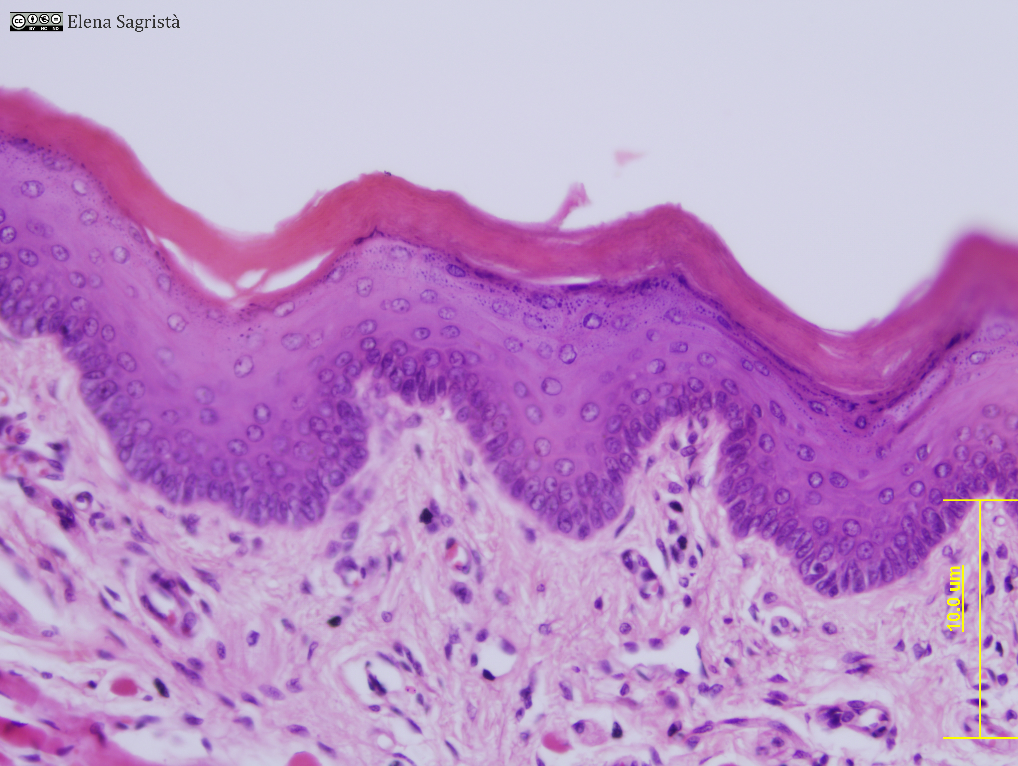
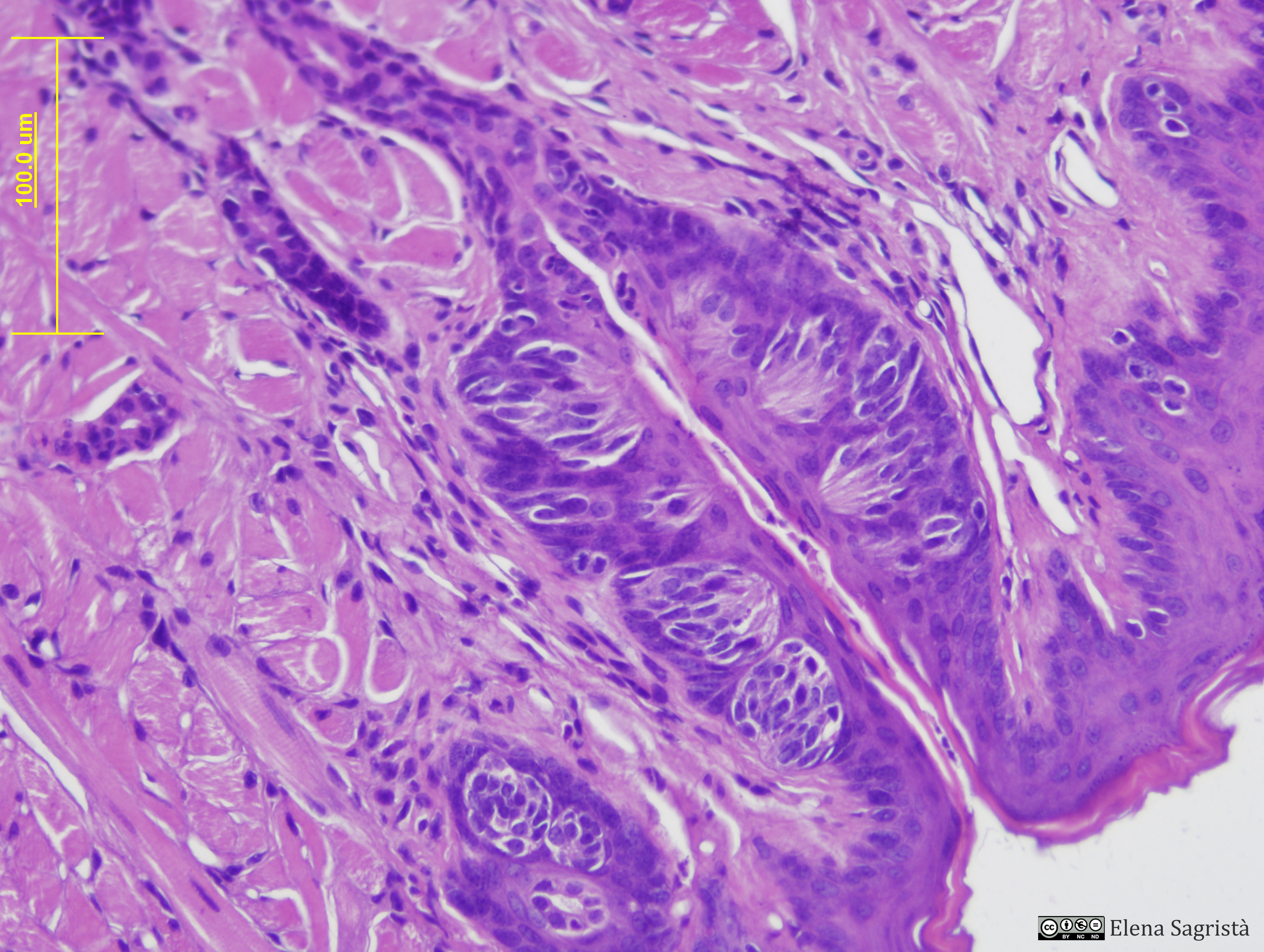
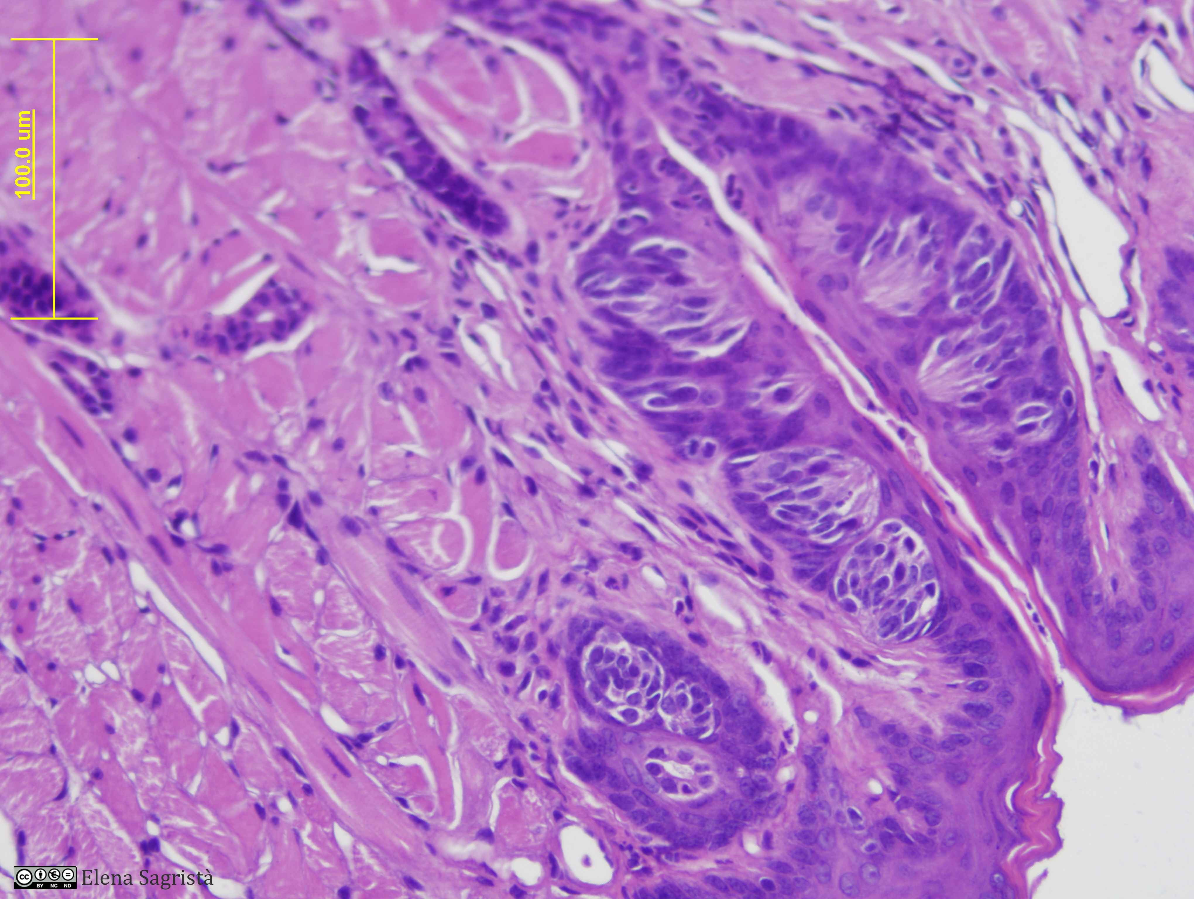
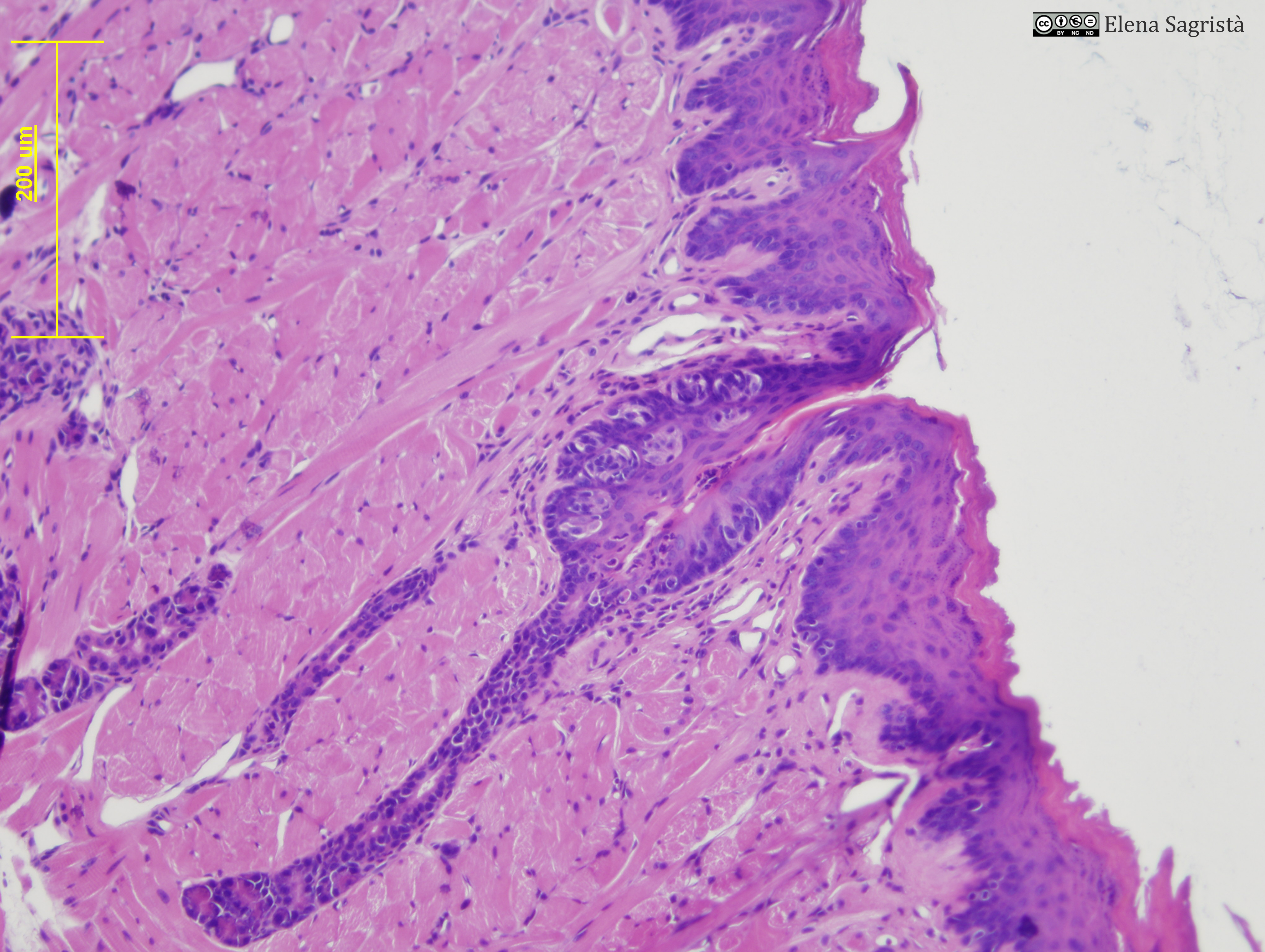
Imatges de preparacions histològiques de Llengua. Microscopia òptica.

Citació

Citació

SAGRISTÀ I MATEO, Elena, Universitat de Barcelona. Departament de Biologia Cel·lular. Histologia imatges: 14 Llengua. [consulta: 6 de maig de 2026]. [Disponible a: https://hdl.handle.net/2445/60015]

Exportar metadades

JSON - METS

Compartir registre