Histologia imatges: 14 Llengua
| dc.contributor.author | Sagristà i Mateo, Elena | |
| dc.contributor.author | Universitat de Barcelona. Departament de Biologia Cel·lular | |
| dc.date.accessioned | 2014-11-25T12:47:17Z | |
| dc.date.available | 2014-11-25T12:47:17Z | |
| dc.date.issued | 2014-11 | |
| dc.description.abstract | Imatges de preparacions histològiques de Llengua. Microscopia òptica. | ca |
| dc.format.extent | 21 imatges | |
| dc.format.mimetype | image/jpeg | |
| dc.identifier.uri | https://hdl.handle.net/2445/60015 | |
| dc.language.iso | cat | ca |
| dc.rights | cc-by-nc-nd (c) Sagristà, 2014 | |
| dc.rights.accessRights | info:eu-repo/semantics/openAccess | ca |
| dc.rights.uri | http://creativecommons.org/licenses/by-nc-nd/3.0/es/ | |
| dc.source | OMADO (Objectes i MAterials DOcents) | |
| dc.subject.classification | Histologia | cat |
| dc.subject.classification | Microscòpia | cat |
| dc.subject.classification | Llengua (Anatomia) | cat |
| dc.subject.other | Universitat de Barcelona. Departament de Biologia Cel·lular | |
| dc.title | Histologia imatges: 14 Llengua | cat |
| dc.type | info:eu-repo/semantics/other | ca |
Fitxers
Paquet original
1 - 5 de 21
Carregant...
- Nom:
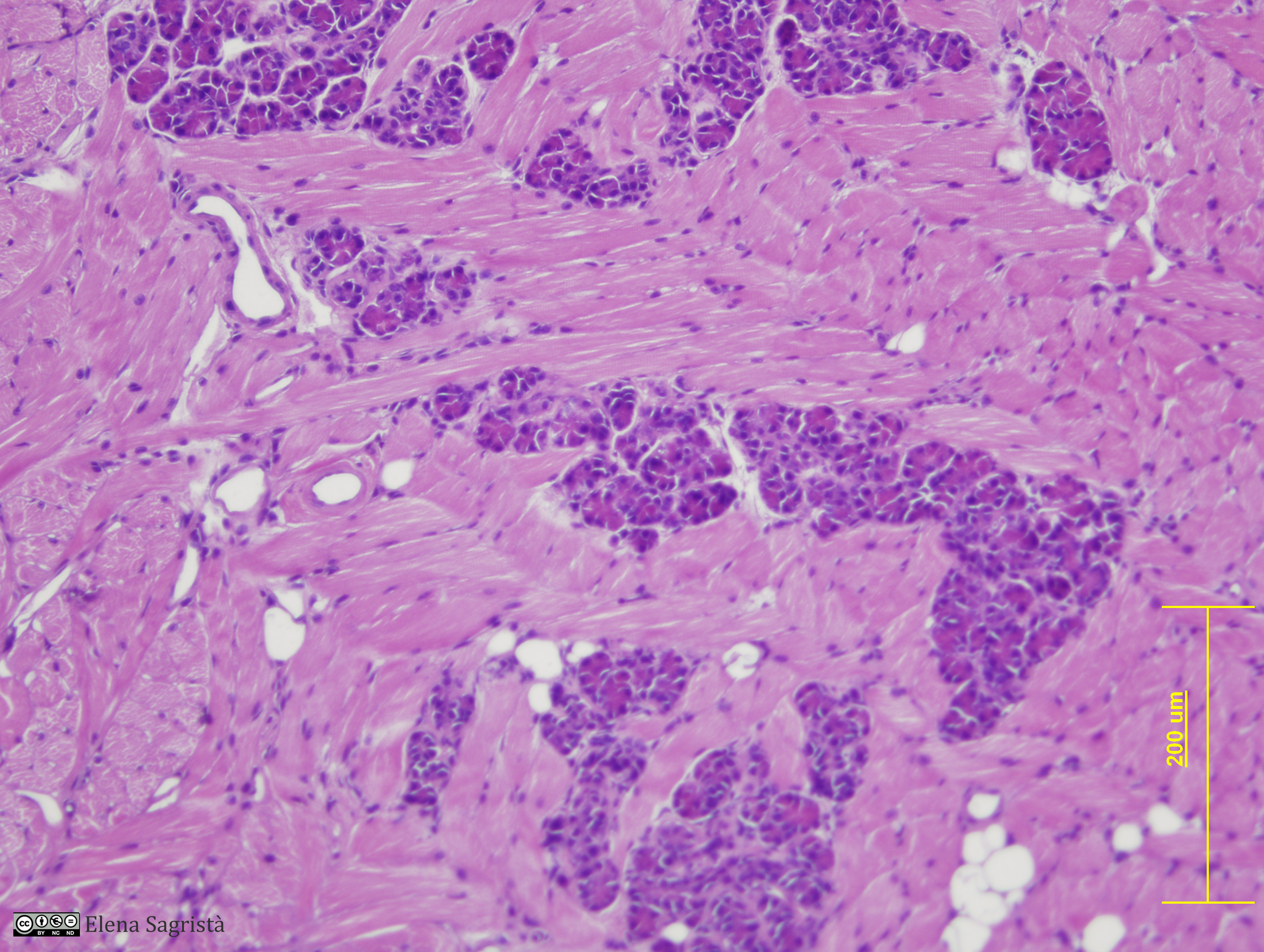
- 01 Llengua general amb Glandules d'Ebner (seroses )(HE).jpg
- Mida:
- 4.05 MB
- Format:
- Joint Photographic Experts Group/JPEG File Interchange Format (JFIF)
Carregant...
- Nom:
- 02 LLengua Gral.jpg
- Mida:
- 5.27 MB
- Format:
- Joint Photographic Experts Group/JPEG File Interchange Format (JFIF)
Carregant...
- Nom:
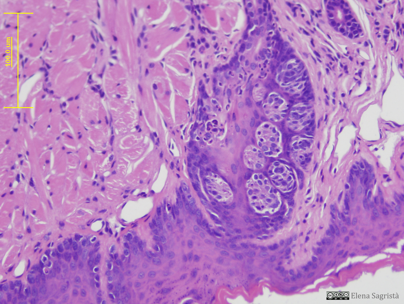
- 03 Llengua Papil·les lamina propia musculatura.jpg
- Mida:
- 4.55 MB
- Format:
- Joint Photographic Experts Group/JPEG File Interchange Format (JFIF)
Carregant...
- Nom:
- 04 Llengua papil·les filiformes (HE).jpg
- Mida:
- 4.52 MB
- Format:
- Joint Photographic Experts Group/JPEG File Interchange Format (JFIF)
Carregant...
- Nom:
- 05 Glandules salivals d'Ebner (seroses ) de la Llengua (HE).jpg
- Mida:
- 3.84 MB
- Format:
- Joint Photographic Experts Group/JPEG File Interchange Format (JFIF)
- 1 (current)
- 2
- 3
- 4
- 5