Carregant...
Tipus de document
AltresData de publicació
Llicència de publicació
Si us plau utilitzeu sempre aquest identificador per citar o enllaçar aquest document: https://hdl.handle.net/2445/225873
Testis ultrastructure: Electron micrographs of seminiferous tubules in the rat
Títol de la revista
Director/Tutor
ISSN de la revista
Títol del volum
Recurs relacionat
Resum
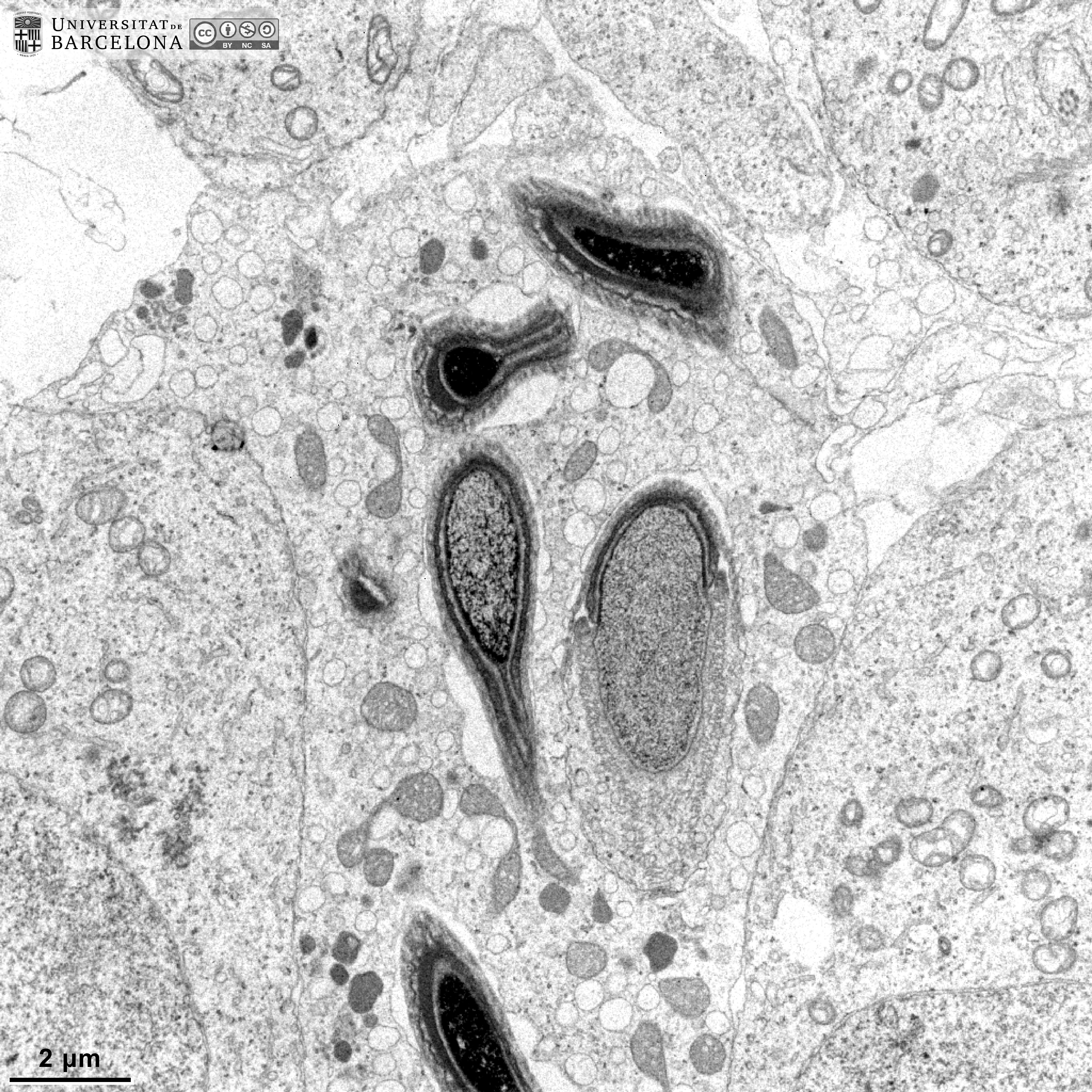
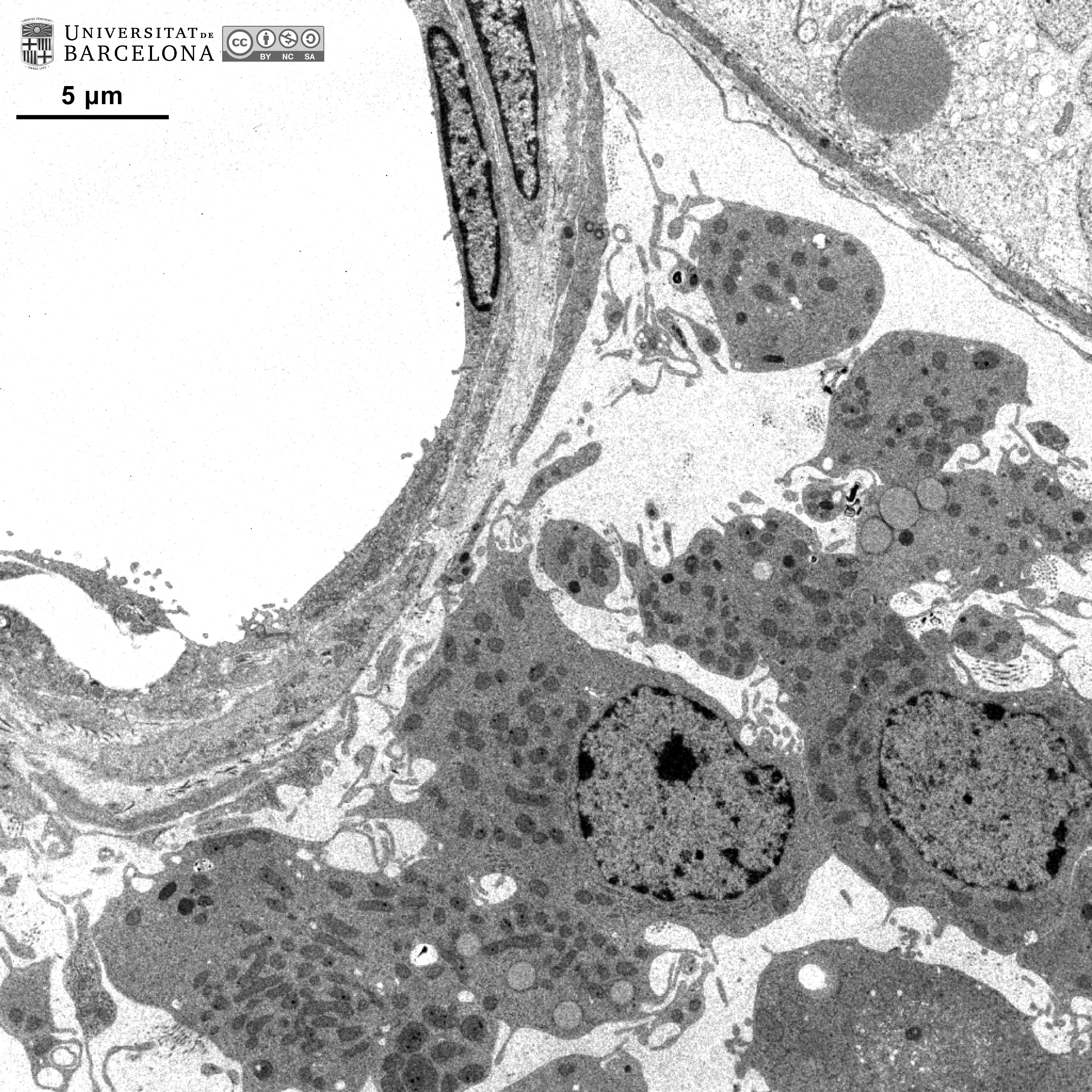
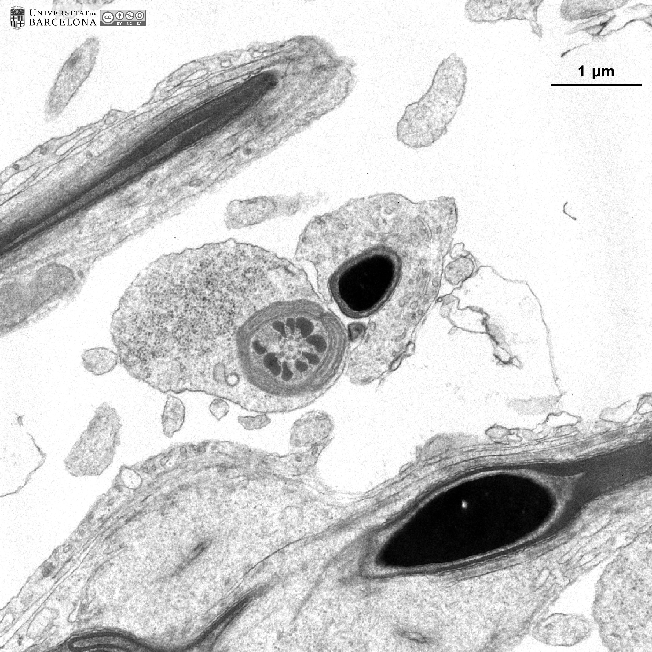
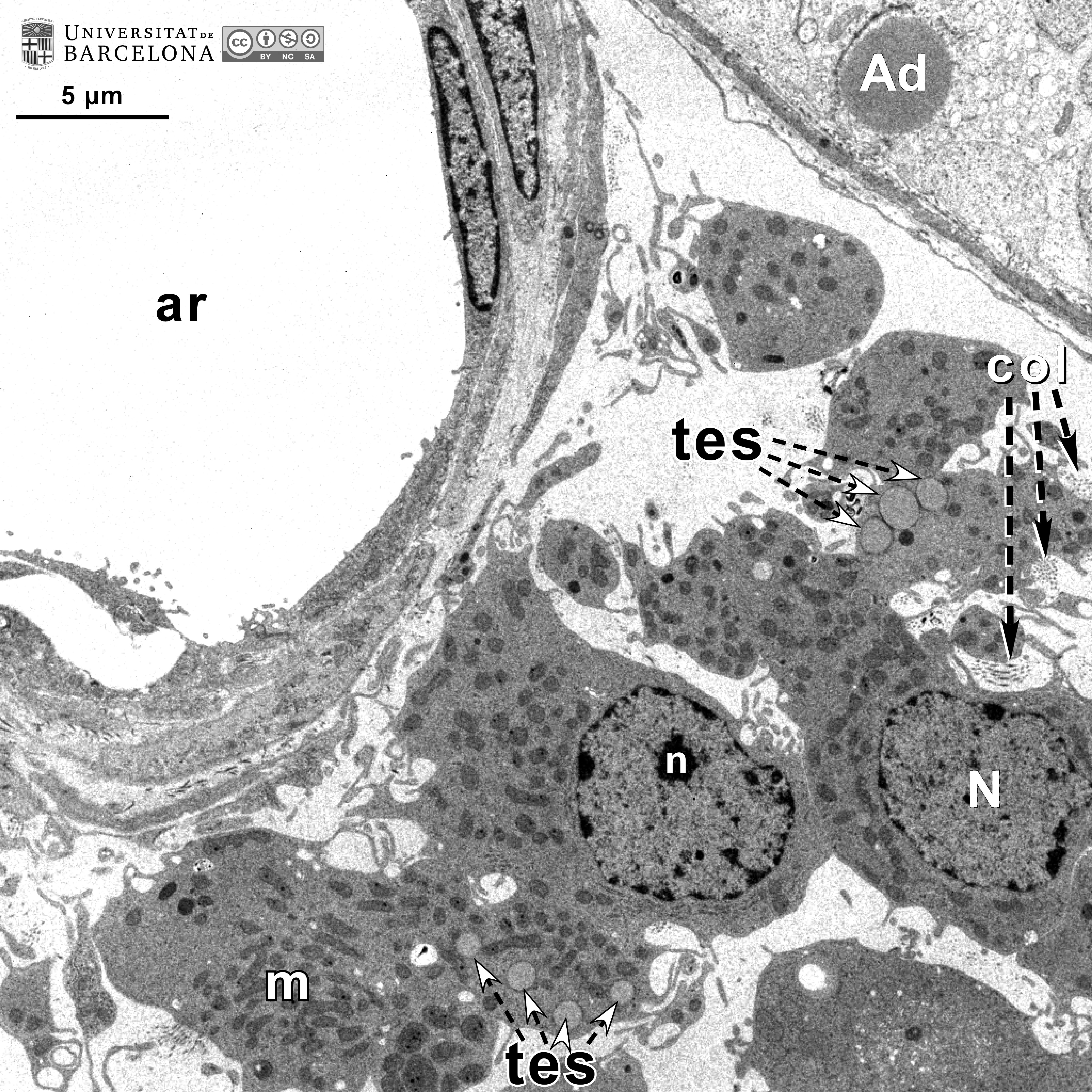
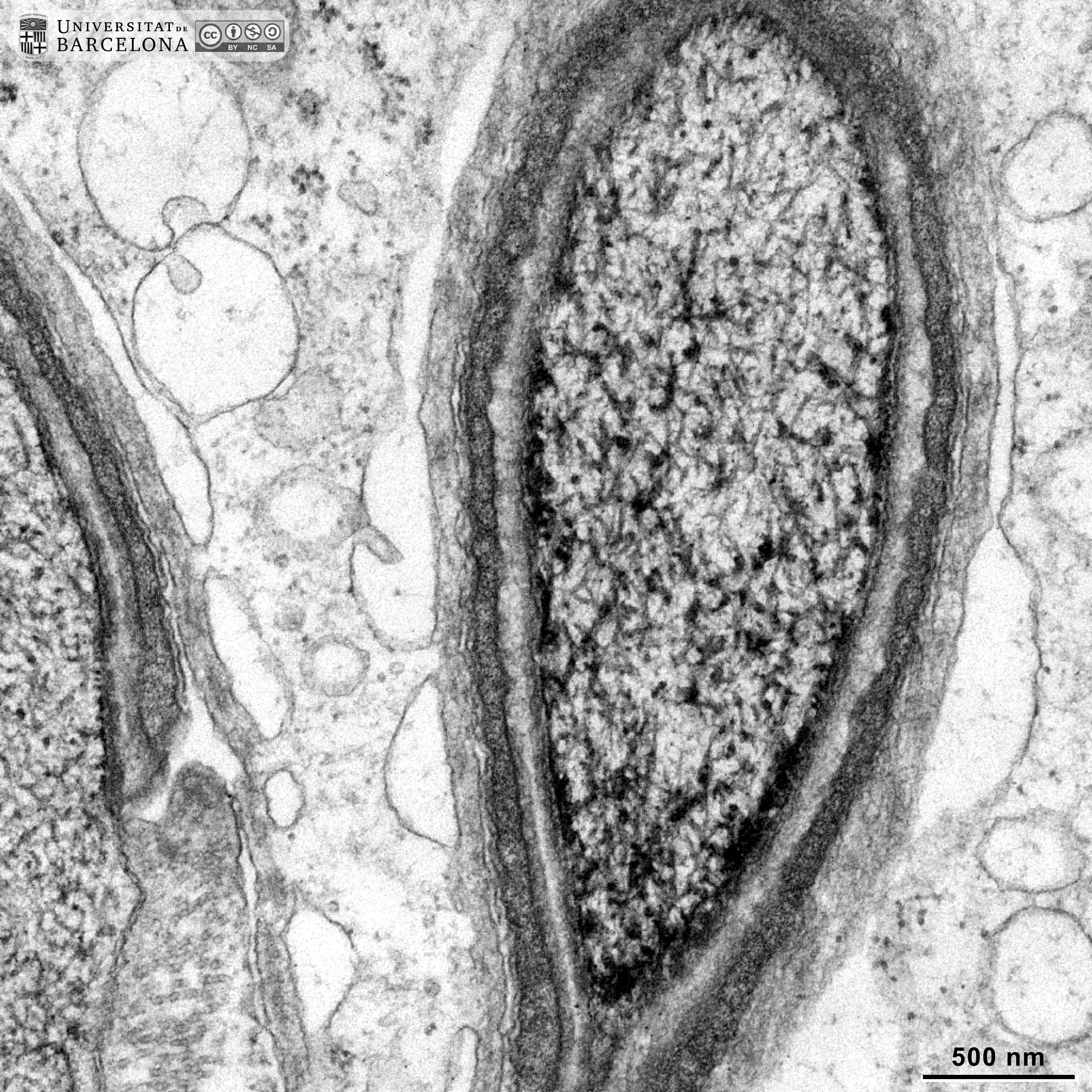
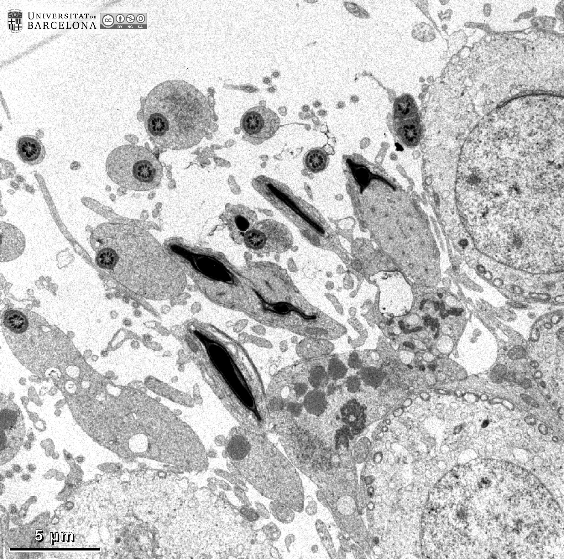
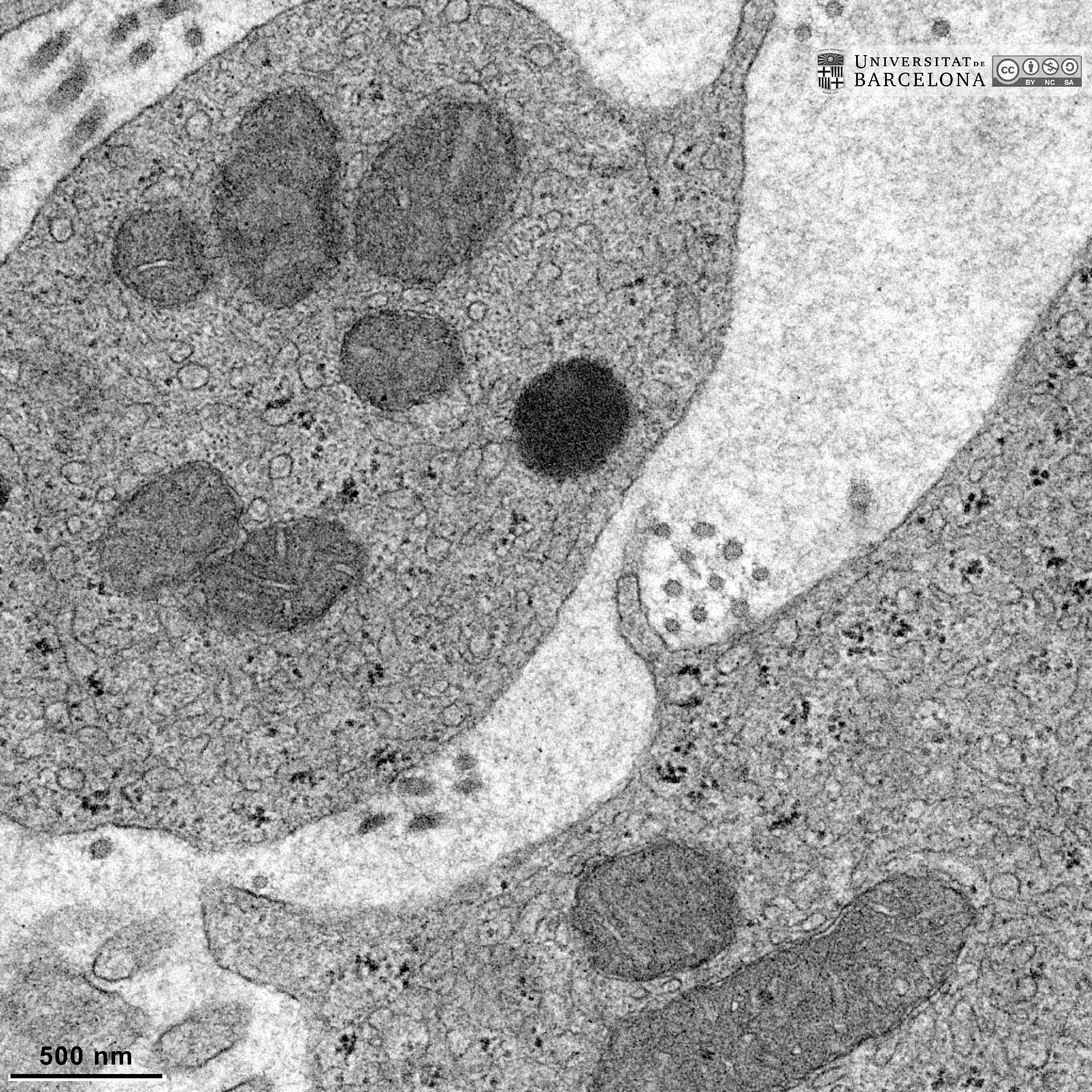
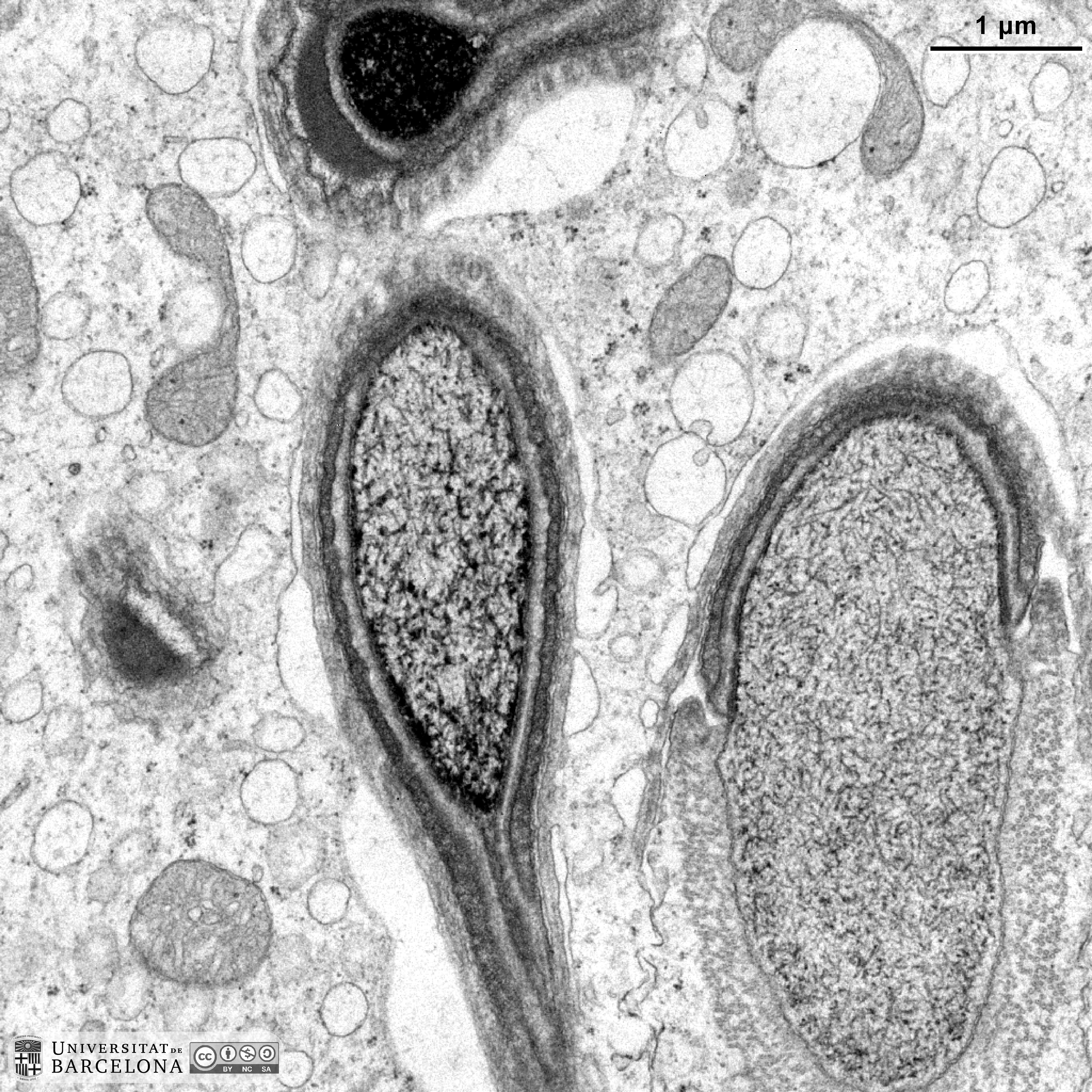
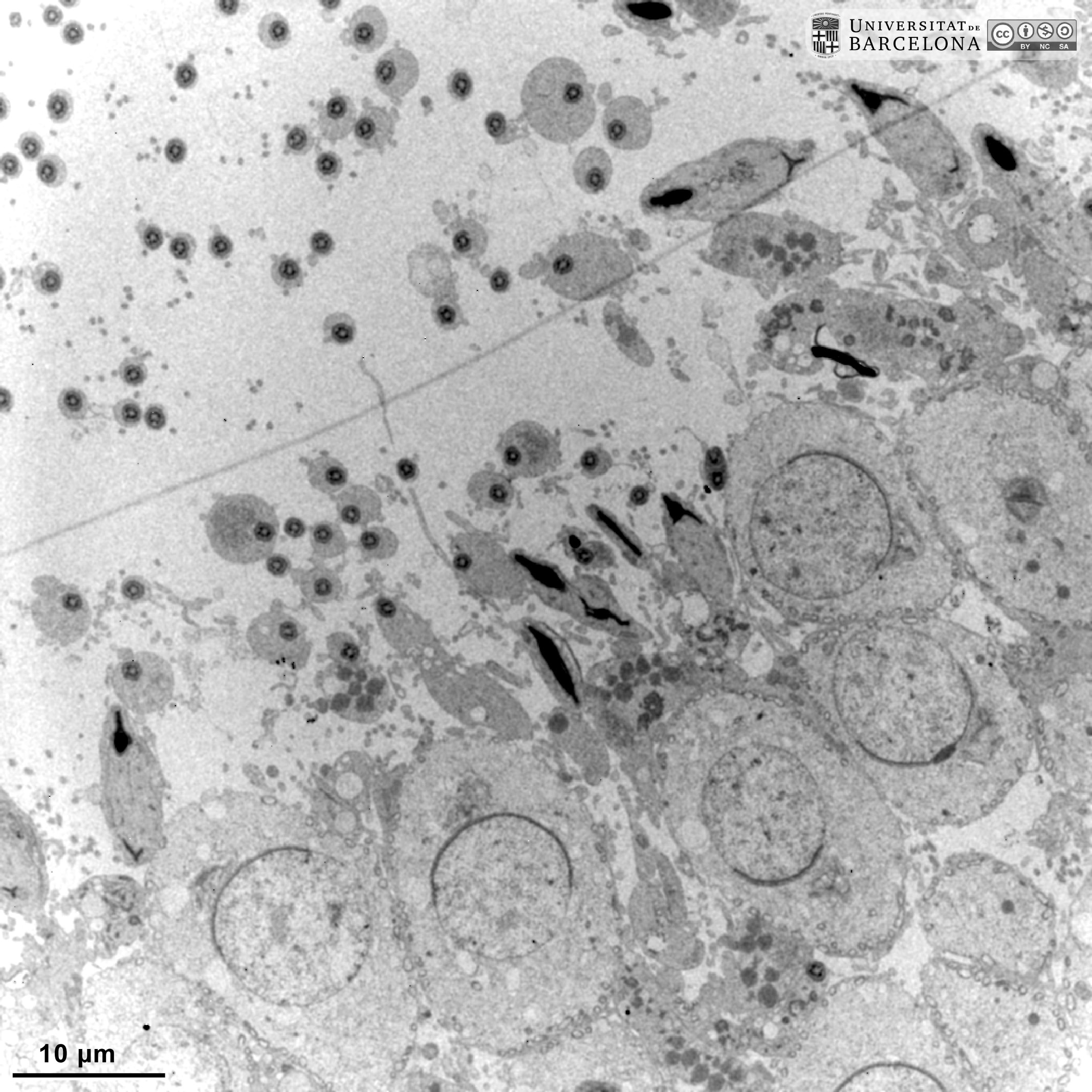
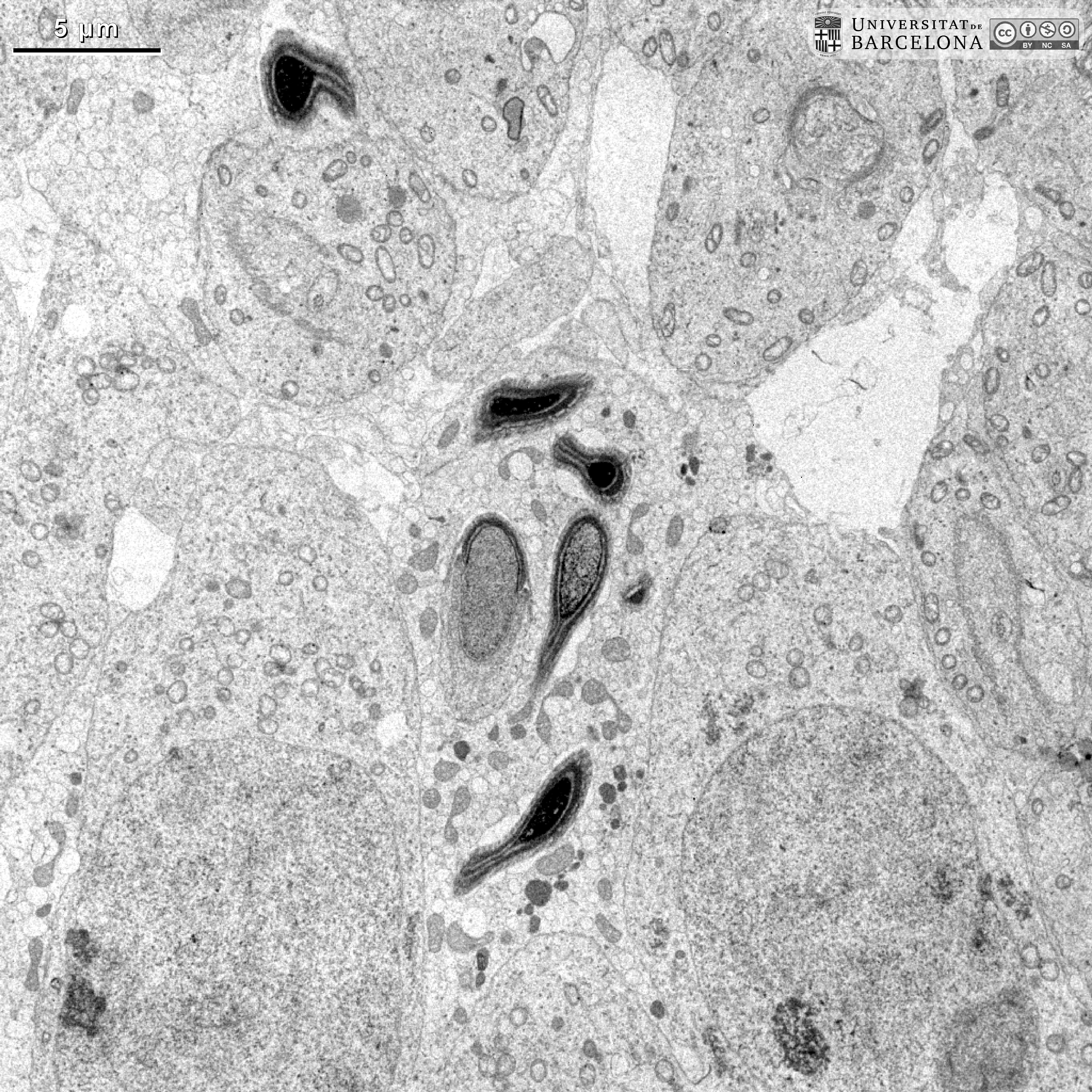
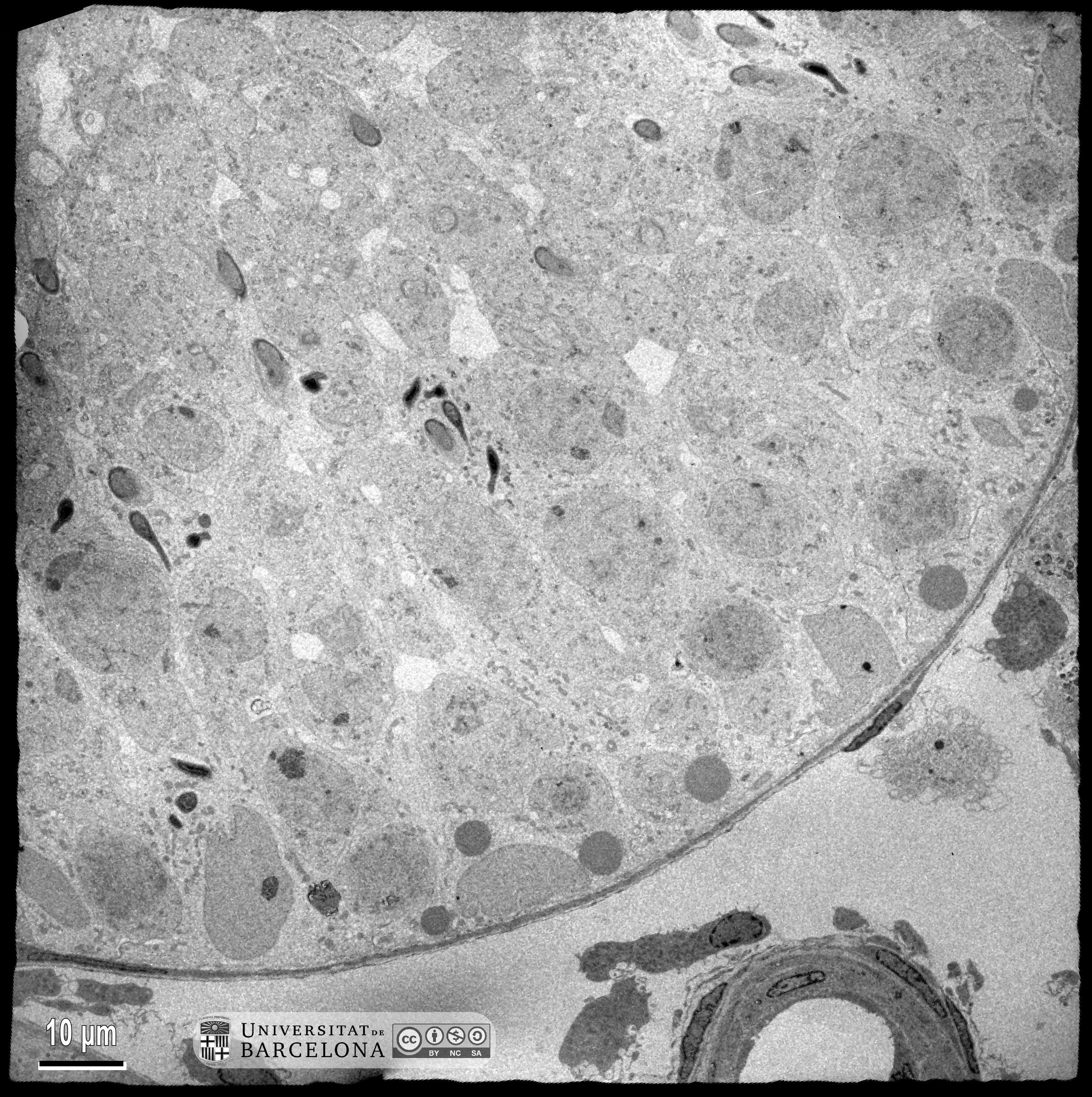
[ENG] A collection of electron micrographs illustrating details of the seminiferous tubules, spermatogenic cells, and spermatozoa in the rat testis. Towards the year 2010, an online virtual microscope project led by Dr Xavier Messeguer (Universitat Politècnica de Catalunya) and Dr Fernando Aguado (Universitat de Barcelona) was launched and hosted at www.genomedu.com. The project was discontinued in 2021 or 2022, and the material became unavailable. Some of the electron microscopy images I contributed at that time have now been adjusted for brightness and contrast, with lettering and labelling added, and figure legends prepared for inclusion in this collection. Unfortunately, it was not possible to examine the original grids and sections again, and some elements could not be identified or photographed at higher resolution. When processing those samples, rats were perfused with a mixture of formaldehyde and glutaraldehyde, postfixed in osmium tetroxide and maleate-buffered uranyl, and embedded in EPON 812. Thin sections approximately 50 nm thick were counter-stained with uranyl acetate and lead citrate.
[CAT] Col·lecció de electromicrografies dels tubs seminífers, cèl·lules espermatogèniques i espermatozoides del testicle de la rata. Cap al 2010, el Dr. Xavier Messeguer (Universitat Politècnica de Catalunya) i el Dr. Fernando Aguado (Universitat de Barcelona) van liderar un projecte de microscopi virtual en línia accessible a www.genomedu.com. El projecte es va cancel·lar en 2021 o 2022 i el material va deixar d'estar disponible. Algunes de les imatges que vaig aportar al projecte han estat ara ajustades de brillantor i contrast, s'han afegit lletres i símbols, s'han redactat uns peus de figura i s'han inclòs en aquesta col·lecció. Per a l'obtenció d'aquestes mostres, les rates es van perfondre amb una barreja de formaldehid i glutaraldehid, es postfixaren en tetraòxid d'osmi i uranil en amortidor maleat, i s'inclogueren en EPON 812. Els talls ultrafins, d'uns 50 nm de gruix, es van contrastar amb acetat d'uranil i citrat de plom.
Descripció
Keywords: Rats as laboratory animals – Sertoli cells – Spermatogenesis – Spermatozoa – Testicle
Matèries (anglès)
Citació
Cite as: Pérez-Clausell J (2025) << Title>>. Universitat de Barcelona. Departament de Biologia Cel·lular, Fisiologia i Immunologia. Dipòsit digital UB [consulted on <<date>>] https://hdl.handle.net/2445/225873
Col·leccions
Citació
PÉREZ CLAUSELL, Jeús, UNIVERSITAT DE BARCELONA. DEPARTAMENT DE BIOLOGIA CEL·LULAR, Fisiologia i immunologia. Testis ultrastructure: Electron micrographs of seminiferous tubules in the rat. [consulta: 7 de febrer de 2026]. [Disponible a: https://hdl.handle.net/2445/225873]